TSPY3 Products

Antibodies
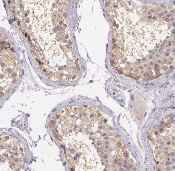
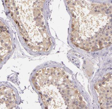
TSPY3 Antibody - BSA Free
TSPY3 Antibody - BSA Free
NBP3-45702
Species: Hu
Applications: WB, ELISA, IHC
Host: Rabbit Polyclonal
TSPY3 Antibody - Azide and BS ...
TSPY3 Antibody - Azide and BSA Free
NBP2-94457
Species: Rt
Applications: WB
Host: Rabbit Polyclonal
Formulation Catalog # Availability Price  
Lysates
TSPY3 Overexpression Lysate
TSPY3 Overexpression Lysate
NBL1-12626
Species: Hu
Applications: WB

Description

TSPY3 may be involved in sperm differentiation and proliferation

Bioinformatics

Entrez Human
Uniprot Human
Product By Gene ID 728137
Alternate Names
  • testis specific protein, Y-linked 3