TMEM126A Products

Antibodies
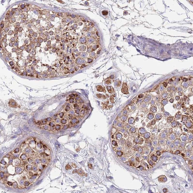
TMEM126A Antibody - BSA Free
TMEM126A Antibody - BSA Free
NBP2-13444
Species: Hu
Applications: WB, IHC
Host: Rabbit Polyclonal
Formulation Catalog # Availability Price  
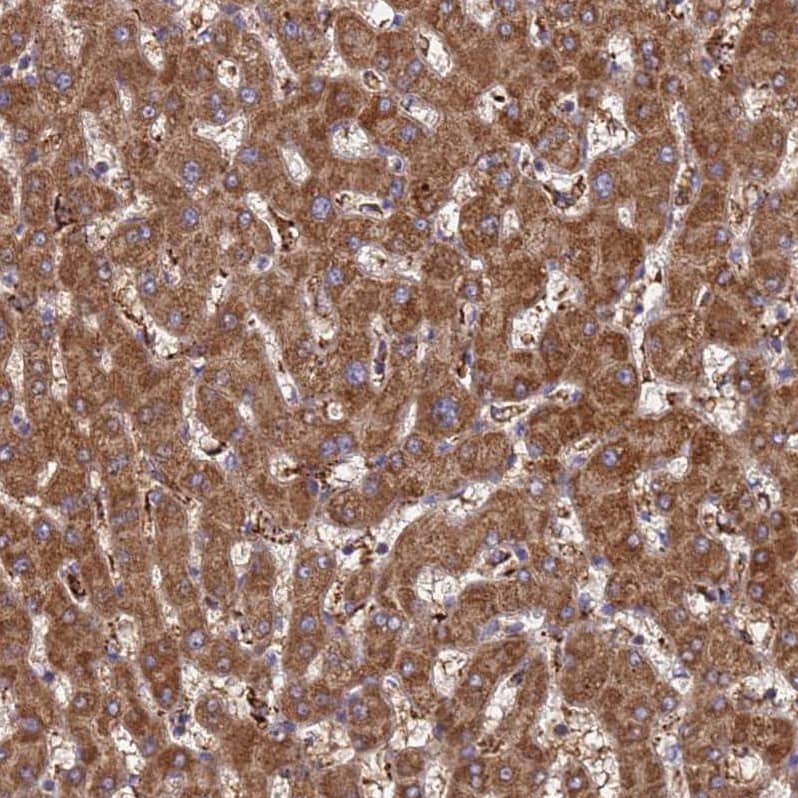
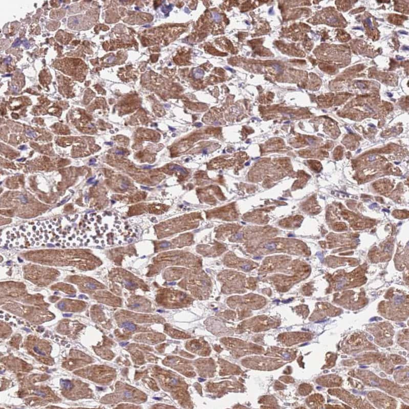
TMEM126A Antibody
TMEM126A Antibody
NBP2-80535
Species: Mu
Applications: WB, IHC
Host: Rabbit Polyclonal
Lysates
TMEM126A Overexpression Lysat ...
TMEM126A Overexpression Lysate
NBL1-17006
Species: Hu
Applications: WB
Proteins
TMEM126A Recombinant Protein ...
TMEM126A Recombinant Protein Antigen
NBP2-13444PEP
Species: Hu
Applications: AC

Description

The TMEM126A gene encodes a mitochondrial protein of higher eukaryotes with 4 transmembrane domains and a centraldomain conserved with TMEM126B (Hanein et al., 2009 (PubMed 19327736)).(supplied by OMIM)

Bioinformatics

Entrez Human
Uniprot Human
Product By Gene ID 84233
Alternate Names
  • OPA7DKFZp586C1924
  • transmembrane protein 126A