SPIN2B Products

Antibodies
SPIN2B Antibody - BSA Free
SPIN2B Antibody - BSA Free
NBP3-45836
Species: Hu, Mu, Rt
Applications: WB, ELISA, IHC
Host: Rabbit Polyclonal
SPIN2B Antibody - BSA Free
SPIN2B Antibody - BSA Free
NBP1-80728
Species: Hu, Mu, Rt
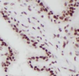
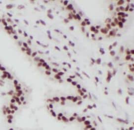
Applications: IHC
Host: Rabbit Polyclonal
Formulation Catalog # Availability Price  
SPIN2B Antibody - BSA Free
SPIN2B Antibody - BSA Free
NBP2-93087
Species: Hu, Mu, Rt
Applications: WB
Host: Rabbit Polyclonal
Formulation Catalog # Availability Price  
Lysates
SPIN2B Overexpression Lysate
SPIN2B Overexpression Lysate
NBP2-09111
Species: Hu
Applications: WB
SPIN2B Overexpression Lysate
SPIN2B Overexpression Lysate
NBL1-16403
Species: Hu
Applications: WB
Proteins
SPIN2B Recombinant Protein An ...
SPIN2B Recombinant Protein Antigen
NBP1-80728PEP
Species: Hu
Applications: AC

Description

SPIN2B is involved in the regulation of cell cycle progression, this activity is related to the inhibition of apoptosisfollowing the removal of essential growth factors

Bioinformatics

Entrez Human
Uniprot Human
Human
Human
Product By Gene ID 474343
Alternate Names
  • dJ323P24.2
  • SPIN2
  • SPIN2_duplicate
  • SPIN-2B
  • SPIN-2spindlin family, member 2 duplicate
  • spindlin family, member 2B
  • spindlin-2B
  • Spindlin-like protein 2B
  • telomeric SPIN2 copy