Skip to main content
Support: 1-888-506-6887
Items in Cart (
0
)
[X]
Quick Order
Account
COVID-19 Research Tools
Antibodies
Primary Antibodies
Conjugated Antibodies
Sample Size Antibodies
KO Validated Antibodies
Recombinant Antibodies
Antibody Sampler Packs
Antibody Pairs
Secondary Antibodies
Isotype Control Antibodies
Proteins and Peptides
Peptides & Proteins
Blocking Peptides
Biologically Active Proteins
Lysates and Cell Lines
Lysates
Stem Cell Lines
Kits
Antibody Labeling Kits
ChIP Kits
ELISA Kits
Flow Cytometry Kits
Activators and Inhibitors
Inhibitors
Activators
Support Products
Exosome Isolation
Flow Cytometry Beads
IHC Tissue Slides
IHC Microarrays
Western Blot Gels & Buffers
Western Blot Membranes
All Support Products
Bulk and Custom
Products
Our Protocols
Resources
Protocols
Video Protocols
Troubleshooting Guides
Posters and Literature
Handbooks and Guides
Calculators
FAQs
Blogs
Diseases
Whitepapers
Webinars
Tools
Spectra Viewer
Flow Cytometry Panel Builder
Application
ELISA
Flow Cytometry
Mass Cytometry (CyTOF)
ICC
IHC
Western Blotting
Interviews
Faculty
Postdoc
Resources
View Pathways
By Research Area
Apoptosis
Autophagy
Cancer
Cell Biology
Cellular Markers
Epigenetics
Epitope Tags
Exosomes Research
Hypoxia
Immunology
Microbiology
Neuroscience
Stem Cells
By Pathway
AKT
Apoptosis
Autophagy
ERK1/2/5 Pathway
Hedgehog
Hippo
JNK Pathway
mTOR
Necroptosis
NFKB Signaling
p38 Signaling
TGF Beta
TLR
Research Areas
Get Rewards
Customer Care
100% Guarantee
Risk Free Testing
Novus Rewards Program
Publication Rewards Program
Scholarship
Travel Grants
Customer Care
Novus Careers
About us
Careers
Collaborations
Events
Novus Story
Our Team
Philanthropy
Press Releases
Why choose Novus
About Us
Contact Us
Customer Service
Distributors
Technical Support
Contact
Home
» SMDT1 Products
SMDT1 Products
SMDT1 Antibodies (3)
SMDT1 Lysate (1)
Antibodies
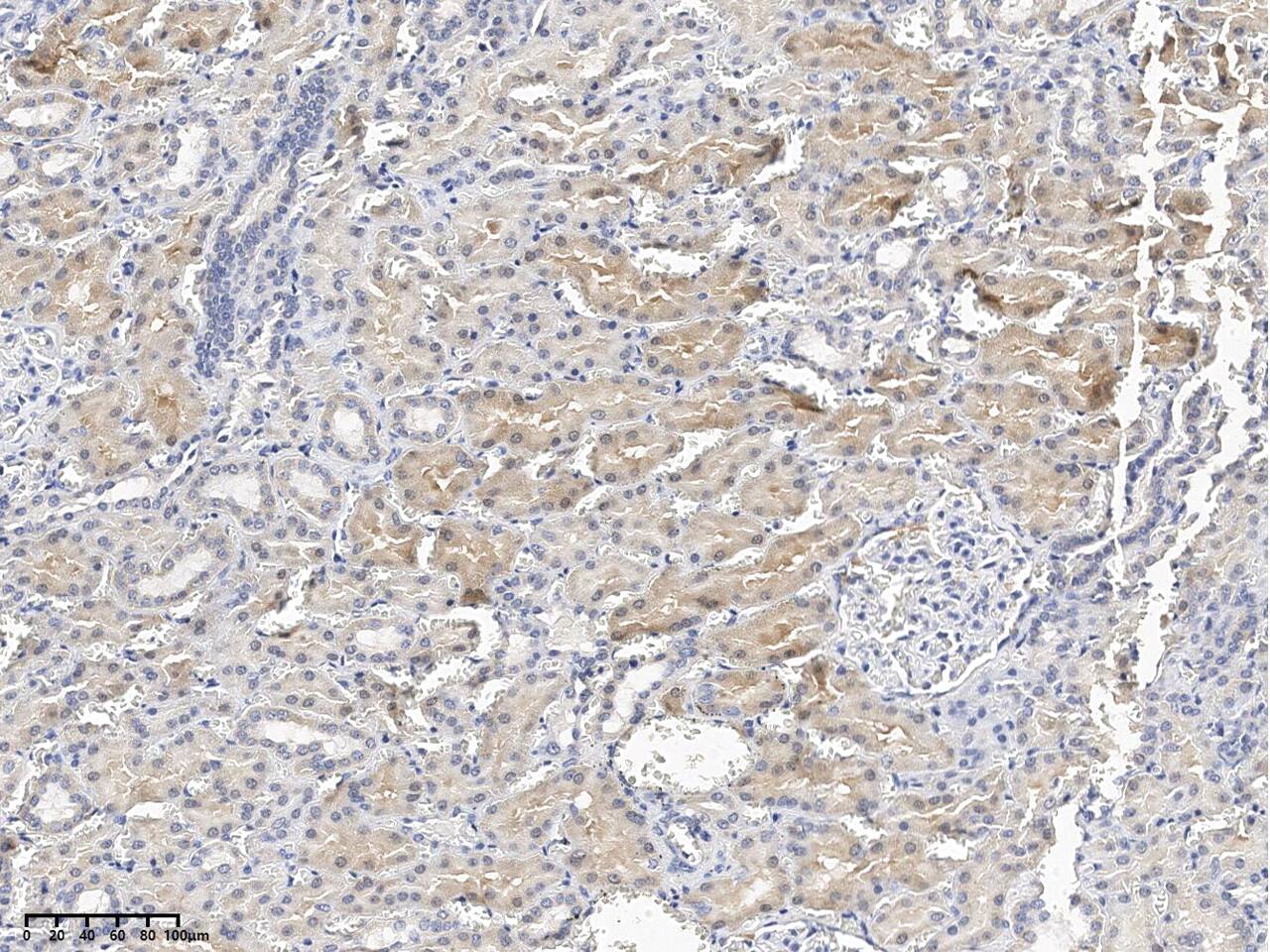
SMDT1 Antibody - Azide and BS ...
SMDT1 Antibody - Azide and BSA Free
NBP3-26913
Species:
Hu
Applications:
IHC
Host:
Rabbit Polyclonal
Conjugates
Conjugate
Catalog #
Availability
Size
Price
Alexa Fluor 350
NBP3-26913AF350
Alexa Fluor 405
NBP3-26913AF405
Alexa Fluor 488
NBP3-26913AF488
Alexa Fluor 532
NBP3-26913AF532
Alexa Fluor 594
NBP3-26913AF594
Alexa Fluor 647
NBP3-26913AF647
Alexa Fluor 700
NBP3-26913AF700
Alexa Fluor 750
NBP3-26913AF750
Alexa Fluor Plus 488
NBP3-26913AFP488
Alexa Fluor Plus 555
NBP3-26913AFP555
Alexa Fluor Plus 594
NBP3-26913AFP594
Alexa Fluor Plus 647
NBP3-26913AFP647
Alexa Fluor Plus 680
NBP3-26913AFP680
Allophycocyanin
NBP3-26913APC
Biotin
NBP3-26913B
CoraFluor 1
NBP3-26913CL1
DyLight 350
NBP3-26913UV
DyLight 405
NBP3-26913V
DyLight 488
NBP3-26913G
DyLight 550
NBP3-26913R
DyLight 594
NBP3-26913DL594
DyLight 650
NBP3-26913C
DyLight 680
NBP3-26913FR
DyLight 755
NBP3-26913IR
FITC
NBP3-26913F
HRP
NBP3-26913H
Janelia Fluor 525
NBP3-26913JF525
Janelia Fluor 549
NBP3-26913JF549
Janelia Fluor 646
NBP3-26913JF646
Janelia Fluor 669
NBP3-26913JF669
PE
NBP3-26913PE
PerCP
NBP3-26913PCP
mFluor Violet 450 SE
NBP3-26913MFV450
mFluor Violet 500 SE
NBP3-26913MFV500
mFluor Violet 610 SE
NBP3-26913MFV610
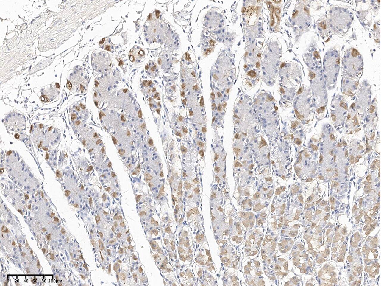
SMDT1 Antibody [CoraFluorT ...
SMDT1 Antibody [CoraFluor™ 1]
NBP3-26913CL1
Species:
Hu
Applications:
IHC
Host:
Rabbit Polyclonal
Conjugates
Conjugate
Catalog #
Availability
Size
Price
Alexa Fluor 350
NBP3-26913AF350
Alexa Fluor 405
NBP3-26913AF405
Alexa Fluor 488
NBP3-26913AF488
Alexa Fluor 532
NBP3-26913AF532
Alexa Fluor 594
NBP3-26913AF594
Alexa Fluor 647
NBP3-26913AF647
Alexa Fluor 700
NBP3-26913AF700
Alexa Fluor 750
NBP3-26913AF750
Allophycocyanin
NBP3-26913APC
Biotin
NBP3-26913B
DyLight 350
NBP3-26913UV
DyLight 405
NBP3-26913V
DyLight 488
NBP3-26913G
DyLight 550
NBP3-26913R
DyLight 594
NBP3-26913DL594
DyLight 650
NBP3-26913C
DyLight 680
NBP3-26913FR
DyLight 755
NBP3-26913IR
FITC
NBP3-26913F
HRP
NBP3-26913H
Janelia Fluor 525
NBP3-26913JF525
Janelia Fluor 549
NBP3-26913JF549
Janelia Fluor 585
NBP3-26913JF585
Janelia Fluor 635
NBP3-26913JF635
Janelia Fluor 646
NBP3-26913JF646
Janelia Fluor 669
NBP3-26913JF669
PE
NBP3-26913PE
PerCP
NBP3-26913PCP
mFluor Violet 450 SE
NBP3-26913MFV450
mFluor Violet 500 SE
NBP3-26913MFV500
mFluor Violet 610 SE
NBP3-26913MFV610
Formulations
Formulation
Catalog #
Availability
Price
Azide and BSA Free
NBP3-26913
SMDT1 Antibody [Janelia Fluor ...
SMDT1 Antibody [Janelia Fluor®...
NBP3-26913JF525
Species:
Hu
Applications:
IHC
Host:
Rabbit Polyclonal
Conjugates
Conjugate
Catalog #
Availability
Size
Price
Alexa Fluor 350
NBP3-26913AF350
Alexa Fluor 405
NBP3-26913AF405
Alexa Fluor 488
NBP3-26913AF488
Alexa Fluor 532
NBP3-26913AF532
Alexa Fluor 594
NBP3-26913AF594
Alexa Fluor 647
NBP3-26913AF647
Alexa Fluor 700
NBP3-26913AF700
Alexa Fluor 750
NBP3-26913AF750
Allophycocyanin
NBP3-26913APC
Biotin
NBP3-26913B
CoraFluor 1
NBP3-26913CL1
DyLight 350
NBP3-26913UV
DyLight 405
NBP3-26913V
DyLight 488
NBP3-26913G
DyLight 550
NBP3-26913R
DyLight 594
NBP3-26913DL594
DyLight 650
NBP3-26913C
DyLight 680
NBP3-26913FR
DyLight 755
NBP3-26913IR
FITC
NBP3-26913F
HRP
NBP3-26913H
Janelia Fluor 549
NBP3-26913JF549
Janelia Fluor 646
NBP3-26913JF646
Janelia Fluor 669
NBP3-26913JF669
PE
NBP3-26913PE
PerCP
NBP3-26913PCP
mFluor Violet 450 SE
NBP3-26913MFV450
mFluor Violet 500 SE
NBP3-26913MFV500
mFluor Violet 610 SE
NBP3-26913MFV610
Formulations
Formulation
Catalog #
Availability
Price
Azide and BSA Free
NBP3-26913
Read More
Read More
Read More
We have 3 SMDT1 Antibodies
Lysates
SMDT1 Overexpression Lysate
SMDT1 Overexpression Lysate
NBL1-08397
Species:
Hu
Applications:
WB
Read More
We have 1 SMDT1 Lysate
Bioinformatics
Entrez
91689
Human
Uniprot
NM_033318
Human
Q9H4I9
Human
Product By Gene ID
91689
Alternate Names
chromosome 22 open reading frame 32
DDDD
dJ186O1.1
hypothetical protein LOC91689
Need help?
×
How can we help you?
Close
Start Chat