SFXN1 Products

Antibodies
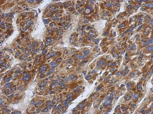
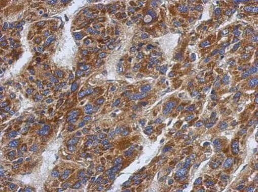
SFXN1 Antibody - BSA Free
SFXN1 Antibody - BSA Free
Species: Hu, Mu, Rt
Applications: WB, ICC/IF, IHC
Host: Rabbit Polyclonal
Formulation Catalog # Availability Price  
SFXN1 Antibody - BSA Free
SFXN1 Antibody - BSA Free
NBP2-20333
Species: Hu
Applications: WB, IHC
Host: Rabbit Polyclonal
SFXN1 Antibody - BSA Free
SFXN1 Antibody - BSA Free
NBP3-35295
Species: Hu, Mu, Rt
Applications: WB, ELISA
Host: Rabbit Polyclonal
Formulation Catalog # Availability Price  
Lysates
SFXN1 Overexpression Lysate
SFXN1 Overexpression Lysate
NBL1-15898
Species: Hu
Applications: WB
Proteins
Recombinant Human SFXN1 GST ( ...
Recombinant Human SFXN1 GST (N-Ter...
H00094081-P01
Species: Hu
Applications: WB, ELISA, MA, AP
SFXN1 Recombinant Protein Ant ...
SFXN1 Recombinant Protein Antigen
NBP1-83708PEP
Species: Hu
Applications: AC

Description

Might be involved in the transport of a component required for iron utilization into or out of themitochondria

Bioinformatics

Entrez Human
Uniprot Human
Human
Human
Human
Product By Gene ID 94081
Alternate Names
  • FLJ12876
  • sideroflexin 1
  • sideroflexin-1
  • TCC
  • Tricarboxylate carrier protein