Skip to main content
Support: 1-888-506-6887
Items in Cart (
0
)
[X]
Quick Order
Account
COVID-19 Research Tools
Antibodies
Primary Antibodies
Conjugated Antibodies
Sample Size Antibodies
KO Validated Antibodies
Recombinant Antibodies
Antibody Sampler Packs
Antibody Pairs
Secondary Antibodies
Isotype Control Antibodies
Proteins and Peptides
Peptides & Proteins
Blocking Peptides
Biologically Active Proteins
Lysates and Cell Lines
Lysates
Stem Cell Lines
Kits
Antibody Labeling Kits
ChIP Kits
ELISA Kits
Flow Cytometry Kits
Activators and Inhibitors
Inhibitors
Activators
Support Products
Exosome Isolation
Flow Cytometry Beads
IHC Tissue Slides
IHC Microarrays
Western Blot Gels & Buffers
Western Blot Membranes
All Support Products
Bulk and Custom
Products
Our Protocols
Resources
Protocols
Video Protocols
Troubleshooting Guides
Posters and Literature
Handbooks and Guides
Calculators
FAQs
Blogs
Diseases
Whitepapers
Webinars
Tools
Spectra Viewer
Flow Cytometry Panel Builder
Application
ELISA
Flow Cytometry
Mass Cytometry (CyTOF)
ICC
IHC
Western Blotting
Interviews
Faculty
Postdoc
Resources
View Pathways
By Research Area
Apoptosis
Autophagy
Cancer
Cell Biology
Cellular Markers
Epigenetics
Epitope Tags
Exosomes Research
Hypoxia
Immunology
Microbiology
Neuroscience
Stem Cells
By Pathway
AKT
Apoptosis
Autophagy
ERK1/2/5 Pathway
Hedgehog
Hippo
JNK Pathway
mTOR
Necroptosis
NFKB Signaling
p38 Signaling
TGF Beta
TLR
Research Areas
Get Rewards
Customer Care
100% Guarantee
Risk Free Testing
Novus Rewards Program
Publication Rewards Program
Scholarship
Travel Grants
Customer Care
Novus Careers
About us
Careers
Collaborations
Events
Novus Story
Our Team
Philanthropy
Press Releases
Why choose Novus
About Us
Contact Us
Customer Service
Distributors
Technical Support
Contact
Home
» SECISBP2L Products
SECISBP2L Products
SECISBP2L Antibodies (3)
SECISBP2L Lysate (1)
SECISBP2L Protein (1)
Antibodies
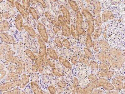
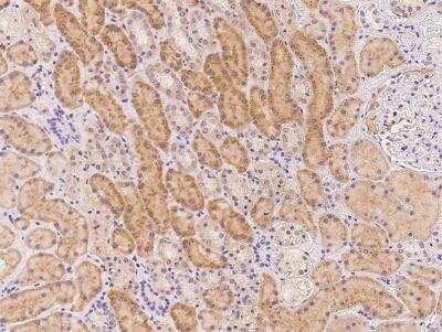
SECISBP2L Antibody - BSA Free ...
SECISBP2L Antibody - BSA Free
NBP1-81530
Species:
Hu
Applications:
ICC/IF, IHC
Host:
Rabbit Polyclonal
Formulations
Formulation
Catalog #
Availability
Price
BSA Free
NBP1-81530-25ul
SECISBP2L Antibody - BSA Free ...
SECISBP2L Antibody - BSA Free
NBP3-05914
Species:
Hu
Applications:
IHC
Host:
Rabbit Polyclonal
Conjugates
Conjugate
Catalog #
Availability
Size
Price
Alexa Fluor 350
NBP3-05914AF350
Alexa Fluor 405
NBP3-05914AF405
Alexa Fluor 488
NBP3-05914AF488
Alexa Fluor 532
NBP3-05914AF532
Alexa Fluor 594
NBP3-05914AF594
Alexa Fluor 647
NBP3-05914AF647
Alexa Fluor 700
NBP3-05914AF700
Alexa Fluor 750
NBP3-05914AF750
Alexa Fluor Plus 488
NBP3-05914AFP488
Alexa Fluor Plus 555
NBP3-05914AFP555
Alexa Fluor Plus 594
NBP3-05914AFP594
Alexa Fluor Plus 647
NBP3-05914AFP647
Alexa Fluor Plus 680
NBP3-05914AFP680
Allophycocyanin
NBP3-05914APC
Biotin
NBP3-05914B
CoraFluor 1
NBP3-05914CL1
DyLight 350
NBP3-05914UV
DyLight 405
NBP3-05914V
DyLight 488
NBP3-05914G
DyLight 550
NBP3-05914R
DyLight 594
NBP3-05914DL594
DyLight 650
NBP3-05914C
DyLight 680
NBP3-05914FR
DyLight 755
NBP3-05914IR
FITC
NBP3-05914F
HRP
NBP3-05914H
Janelia Fluor 525
NBP3-05914JF525
Janelia Fluor 549
NBP3-05914JF549
Janelia Fluor 646
NBP3-05914JF646
Janelia Fluor 669
NBP3-05914JF669
PE
NBP3-05914PE
PerCP
NBP3-05914PCP
mFluor Violet 450 SE
NBP3-05914MFV450
mFluor Violet 500 SE
NBP3-05914MFV500
mFluor Violet 610 SE
NBP3-05914MFV610
Formulations
Formulation
Catalog #
Availability
Price
BSA Free
NBP3-05914-100ul
BSA Free
NBP3-05914-50ul
SECISBP2L Antibody [Janelia F ...
SECISBP2L Antibody [Janelia Fluor&...
NBP3-05914JF669
Species:
Hu
Applications:
IHC
Host:
Rabbit Polyclonal
Conjugates
Conjugate
Catalog #
Availability
Size
Price
Alexa Fluor 350
NBP3-05914AF350
Alexa Fluor 405
NBP3-05914AF405
Alexa Fluor 488
NBP3-05914AF488
Alexa Fluor 532
NBP3-05914AF532
Alexa Fluor 594
NBP3-05914AF594
Alexa Fluor 647
NBP3-05914AF647
Alexa Fluor 700
NBP3-05914AF700
Alexa Fluor 750
NBP3-05914AF750
Allophycocyanin
NBP3-05914APC
Biotin
NBP3-05914B
CoraFluor 1
NBP3-05914CL1
DyLight 350
NBP3-05914UV
DyLight 405
NBP3-05914V
DyLight 488
NBP3-05914G
DyLight 550
NBP3-05914R
DyLight 594
NBP3-05914DL594
DyLight 650
NBP3-05914C
DyLight 680
NBP3-05914FR
DyLight 755
NBP3-05914IR
FITC
NBP3-05914F
HRP
NBP3-05914H
Janelia Fluor 525
NBP3-05914JF525
Janelia Fluor 549
NBP3-05914JF549
Janelia Fluor 585
NBP3-05914JF585
Janelia Fluor 635
NBP3-05914JF635
Janelia Fluor 646
NBP3-05914JF646
PE
NBP3-05914PE
PerCP
NBP3-05914PCP
mFluor Violet 450 SE
NBP3-05914MFV450
mFluor Violet 500 SE
NBP3-05914MFV500
mFluor Violet 610 SE
NBP3-05914MFV610
Read More
Read More
Read More
We have 3 SECISBP2L Antibodies
Lysates
SECISBP2L Overexpression Lysa ...
SECISBP2L Overexpression Lysate
NBP2-07286
Species:
Hu
Applications:
WB
Read More
We have 1 SECISBP2L Lysate
Proteins
SECISBP2L Recombinant Protein ...
SECISBP2L Recombinant Protein Antigen
NBP1-81530PEP
Species:
Hu
Applications:
AC
Read More
We have 1 SECISBP2L Protein
Bioinformatics
Entrez
9728
Human
Uniprot
NP_055516
Human
NP_055516.2
Human
Product By Gene ID
9728
Alternate Names
KIAA0256SECIS-binding protein 2-like
SECIS binding protein 2-like
selenocysteine insertion sequence-binding protein 2-like
Need help?
×
How can we help you?
Close
Start Chat