RSK2 Products

Antibodies
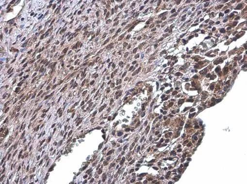
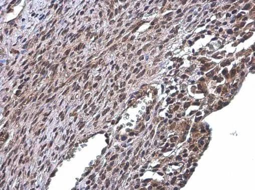
RSK2 Antibody
RSK2 Antibody
NBP2-20237
Species: Hu, Mu, Rt
Applications: WB, IHC
Host: Rabbit Polyclonal
RSK2 Antibody
RSK2 Antibody
NBP2-20236
Species: Hu, Mu, Rt
Applications: WB
Host: Rabbit Polyclonal
Lysates
RSK2 Overexpression Lysate
RSK2 Overexpression Lysate
NBP2-10528
Species: Hu
Applications: WB
Proteins
RSK2 Recombinant Protein Anti ...
RSK2 Recombinant Protein Antigen
NBP1-85552PEP
Species: Hu
Applications: AC

Description

Ribosomal protein S6 kinase II (RSK2) is a protein serine/threonine kinase that was originally detected by its ability to catalyze the multi-site phosphorylation of the 40S ribosomal protein S6 in vitro. One of the important substrates of RSK may be the Glycogenbinding subunit of Protein phosphatase-1, which when phosphorylated by RSK, appears to activate Protein phosphatase 1. This results in increased dephosphorylation and activation of Glycogen synthase to enhance Glycogen synthesis.

Bioinformatics

Product By Gene ID 6197
Alternate Names
  • 90 kDa ribosomal protein S6 kinase 3
  • CLS
  • Coffin-Lowry syndrome
  • EC 2.7.11
  • EC 2.7.11.1
  • HU-3
  • Insulin-stimulated protein kinase 1
  • ISPK1
  • ISPK-1
  • MAP kinase-activated protein kinase 1b
  • MAPK-activated protein kinase 1b
  • MAPKAP kinase 1b
  • MAPKAPK1B
  • MAPKAPK-1b
  • mental retardation, X-linked 19
  • MRX19
  • p90-RSK2
  • p90RSK3
  • pp90RSK2
  • ribosomal protein S6 kinase alpha-3
  • ribosomal protein S6 kinase, 90kD, polypeptide 3
  • ribosomal protein S6 kinase, 90kDa, polypeptide 3
  • Ribosomal S6 kinase 2
  • RPS6KA3
  • RSK
  • RSK2
  • RSK-2
  • RSK2p90-RSK 3
  • S6K-alpha3
  • S6K-alpha-3

Research Areas for RSK2

Find related products by research area and learn more about each of the different research areas below.

Cancer
Phospho-Specific
Protein Kinase