Skip to main content
Support: 1-888-506-6887
Items in Cart (
0
)
[X]
Quick Order
Account
COVID-19 Research Tools
Antibodies
Primary Antibodies
Conjugated Antibodies
Sample Size Antibodies
KO Validated Antibodies
Recombinant Antibodies
Antibody Sampler Packs
Antibody Pairs
Secondary Antibodies
Isotype Control Antibodies
Proteins and Peptides
Peptides & Proteins
Blocking Peptides
Biologically Active Proteins
Lysates and Cell Lines
Lysates
Stem Cell Lines
Kits
Antibody Labeling Kits
ChIP Kits
ELISA Kits
Flow Cytometry Kits
Activators and Inhibitors
Inhibitors
Activators
Support Products
Exosome Isolation
Flow Cytometry Beads
IHC Tissue Slides
IHC Microarrays
Western Blot Gels & Buffers
Western Blot Membranes
All Support Products
Bulk and Custom
Products
Our Protocols
Resources
Protocols
Video Protocols
Troubleshooting Guides
Posters and Literature
Handbooks and Guides
Calculators
FAQs
Blogs
Diseases
Whitepapers
Webinars
Tools
Spectra Viewer
Flow Cytometry Panel Builder
Application
ELISA
Flow Cytometry
Mass Cytometry (CyTOF)
ICC
IHC
Western Blotting
Interviews
Faculty
Postdoc
Resources
View Pathways
By Research Area
Apoptosis
Autophagy
Cancer
Cell Biology
Cellular Markers
Epigenetics
Epitope Tags
Exosomes Research
Hypoxia
Immunology
Microbiology
Neuroscience
Stem Cells
By Pathway
AKT
Apoptosis
Autophagy
ERK1/2/5 Pathway
Hedgehog
Hippo
JNK Pathway
mTOR
Necroptosis
NFKB Signaling
p38 Signaling
TGF Beta
TLR
Research Areas
Get Rewards
Customer Care
100% Guarantee
Risk Free Testing
Novus Rewards Program
Publication Rewards Program
Scholarship
Travel Grants
Customer Care
Novus Careers
About us
Careers
Collaborations
Events
Novus Story
Our Team
Philanthropy
Press Releases
Why choose Novus
About Us
Contact Us
Customer Service
Distributors
Technical Support
Contact
Home
» PODNL1 Products
PODNL1 Products
PODNL1 Antibodies (3)
PODNL1 Lysate (1)
PODNL1 Protein (1)
Antibodies
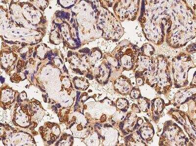
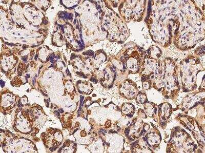
PODNL1 Antibody - BSA Free
PODNL1 Antibody - BSA Free
NBP3-05990
Species:
Hu
Applications:
IHC
Host:
Rabbit Polyclonal
Conjugates
Conjugate
Catalog #
Availability
Size
Price
Alexa Fluor 350
NBP3-05990AF350
Alexa Fluor 405
NBP3-05990AF405
Alexa Fluor 488
NBP3-05990AF488
Alexa Fluor 532
NBP3-05990AF532
Alexa Fluor 594
NBP3-05990AF594
Alexa Fluor 647
NBP3-05990AF647
Alexa Fluor 700
NBP3-05990AF700
Alexa Fluor 750
NBP3-05990AF750
Alexa Fluor Plus 488
NBP3-05990AFP488
Alexa Fluor Plus 555
NBP3-05990AFP555
Alexa Fluor Plus 594
NBP3-05990AFP594
Alexa Fluor Plus 647
NBP3-05990AFP647
Alexa Fluor Plus 680
NBP3-05990AFP680
Allophycocyanin
NBP3-05990APC
Biotin
NBP3-05990B
CoraFluor 1
NBP3-05990CL1
DyLight 350
NBP3-05990UV
DyLight 405
NBP3-05990V
DyLight 488
NBP3-05990G
DyLight 550
NBP3-05990R
DyLight 594
NBP3-05990DL594
DyLight 650
NBP3-05990C
DyLight 680
NBP3-05990FR
DyLight 755
NBP3-05990IR
FITC
NBP3-05990F
HRP
NBP3-05990H
Janelia Fluor 525
NBP3-05990JF525
Janelia Fluor 549
NBP3-05990JF549
Janelia Fluor 646
NBP3-05990JF646
Janelia Fluor 669
NBP3-05990JF669
PE
NBP3-05990PE
PerCP
NBP3-05990PCP
mFluor Violet 450 SE
NBP3-05990MFV450
mFluor Violet 500 SE
NBP3-05990MFV500
mFluor Violet 610 SE
NBP3-05990MFV610
Formulations
Formulation
Catalog #
Availability
Price
BSA Free
NBP3-05990-100ul
BSA Free
NBP3-05990-50ul
PODNL1 Antibody - BSA Free
PODNL1 Antibody - BSA Free
NBP1-93930
Species:
Hu
Applications:
IHC
Host:
Rabbit Polyclonal
Formulations
Formulation
Catalog #
Availability
Price
BSA Free
NBP1-93930-25ul
PODNL1 Antibody [Janelia Fluo ...
PODNL1 Antibody [Janelia Fluor...
NBP3-05990JF669
Species:
Hu
Applications:
IHC
Host:
Rabbit Polyclonal
Conjugates
Conjugate
Catalog #
Availability
Size
Price
Alexa Fluor 350
NBP3-05990AF350
Alexa Fluor 405
NBP3-05990AF405
Alexa Fluor 488
NBP3-05990AF488
Alexa Fluor 532
NBP3-05990AF532
Alexa Fluor 594
NBP3-05990AF594
Alexa Fluor 647
NBP3-05990AF647
Alexa Fluor 700
NBP3-05990AF700
Alexa Fluor 750
NBP3-05990AF750
Allophycocyanin
NBP3-05990APC
Biotin
NBP3-05990B
CoraFluor 1
NBP3-05990CL1
DyLight 350
NBP3-05990UV
DyLight 405
NBP3-05990V
DyLight 488
NBP3-05990G
DyLight 550
NBP3-05990R
DyLight 594
NBP3-05990DL594
DyLight 650
NBP3-05990C
DyLight 680
NBP3-05990FR
DyLight 755
NBP3-05990IR
FITC
NBP3-05990F
HRP
NBP3-05990H
Janelia Fluor 525
NBP3-05990JF525
Janelia Fluor 549
NBP3-05990JF549
Janelia Fluor 585
NBP3-05990JF585
Janelia Fluor 635
NBP3-05990JF635
Janelia Fluor 646
NBP3-05990JF646
PE
NBP3-05990PE
PerCP
NBP3-05990PCP
mFluor Violet 450 SE
NBP3-05990MFV450
mFluor Violet 500 SE
NBP3-05990MFV500
mFluor Violet 610 SE
NBP3-05990MFV610
Read More
Read More
Read More
We have 3 PODNL1 Antibodies
Lysates
PODNL1 Overexpression Lysate
PODNL1 Overexpression Lysate
NBP2-06279
Species:
Hu
Applications:
WB
Read More
We have 1 PODNL1 Lysate
Proteins
PODNL1 Recombinant Protein An ...
PODNL1 Recombinant Protein Antigen
NBP1-93930PEP
Species:
Hu
Applications:
AC
Read More
We have 1 PODNL1 Protein
Bioinformatics
Entrez
79883
Human
Uniprot
NP_079101
Human
Product By Gene ID
79883
Alternate Names
FLJ23447
podocan-like 1
podocan-like protein 1
SLRR5B
Need help?
×
How can we help you?
Close
Start Chat