PIPPIN Products

Antibodies
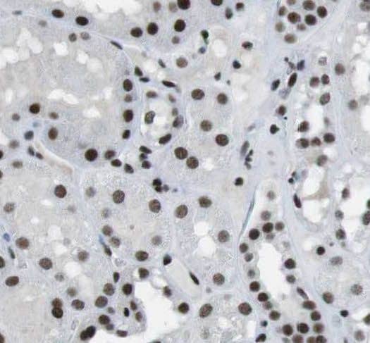
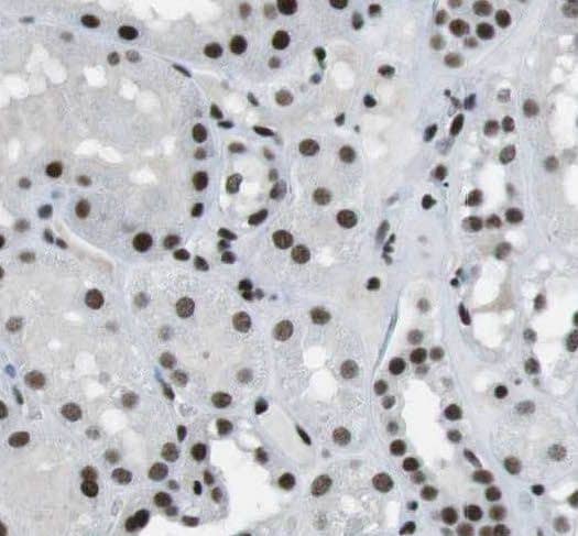
PIPPIN Antibody (2H8) - Azide ...
PIPPIN Antibody (2H8) - Azide and ...
H00027254-M01
Species: Hu
Applications: WB, ELISA, ICC/IF, IHC
Host: Mouse Monoclonal
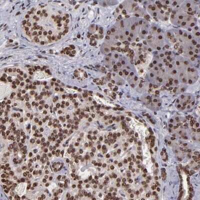
PIPPIN Antibody - BSA Free
PIPPIN Antibody - BSA Free
NBP1-87271
Species: Hu, Mu, Rt
Applications: WB, IHC
Host: Rabbit Polyclonal
PIPPIN Antibody - BSA Free
PIPPIN Antibody - BSA Free
NBP3-47138
Species: Hu, Mu
Applications: WB, ELISA, IHC
Host: Rabbit Polyclonal
Lysates
PIPPIN Overexpression Lysate
PIPPIN Overexpression Lysate
NBL1-09510
Species: Hu
Applications: WB
Proteins
Recombinant Human PIPPIN His ...
Recombinant Human PIPPIN His Protein
NBP2-22792
Species: Hu
Applications: PAGE
PIPPIN Recombinant Protein An ...
PIPPIN Recombinant Protein Antigen
NBP2-57615PEP
Species: Hu
Applications: AC
PIPPIN Recombinant Protein An ...
PIPPIN Recombinant Protein Antigen
NBP1-87271PEP
Species: Hu
Applications: AC

Description

RNA-binding factor which binds specifically to the very 3'-UTR ends of both histone H1 and H3.3 mRNAs, encompassing the polyadenylation signal. Might play a central role in the negative regulation of histone variant synthesis in the developing brain

Bioinformatics

Entrez Human
Uniprot Human
Human
Human
Product By Gene ID 27254
Alternate Names
  • cold shock domain containing C2, RNA binding
  • cold shock domain-containing protein C2
  • dJ347H13.2
  • PIPPin
  • PIPPIN
  • RNA-binding protein PIPPin