PABPC3 Products

Antibodies
PABPC3 Antibody - BSA Free
PABPC3 Antibody - BSA Free
NBP2-15061
Species: Hu
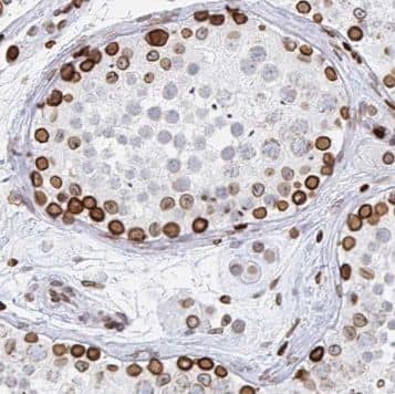
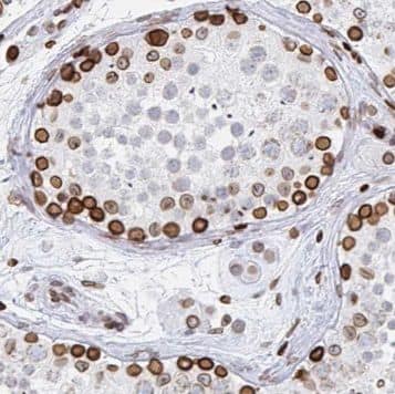
Applications: WB, ICC/IF, IHC, IP
Host: Rabbit Polyclonal
PABPC3 Antibody - BSA Free
PABPC3 Antibody - BSA Free
NBP3-47234
Species: Hu, Mu, Rt
Applications: WB, ELISA, IHC
Host: Rabbit Polyclonal
PABPC3 Antibody - Azide and B ...
PABPC3 Antibody - Azide and BSA Free
H00005042-B01P
Species: Hu
Applications: WB, ICC/IF
Host: Mouse Polyclonal

Description

Messenger RNA stability and translation initiation are extensively under the control of poly(A)-binding proteins (PABP). See PABPC1 (MIM 604679) for background information.[supplied by OMIM]

Bioinformatics

Uniprot Human
Human
Product By Gene ID 5042
Alternate Names
  • PABP-3
  • PABP3polyadenylate-binding protein 3
  • PABPL3testis PABP
  • poly(A) binding protein, cytoplasmic 3
  • Poly(A)-binding protein 3
  • poly(A)-binding protein, cytoplasmic 3
  • poly(A)-binding protein-like 3
  • testis-specific poly(A)-binding protein (PABP)
  • testis-specific poly(A)-binding protein 3
  • Testis-specific poly(A)-binding protein
  • tPABP