NSUN3 Products

Antibodies
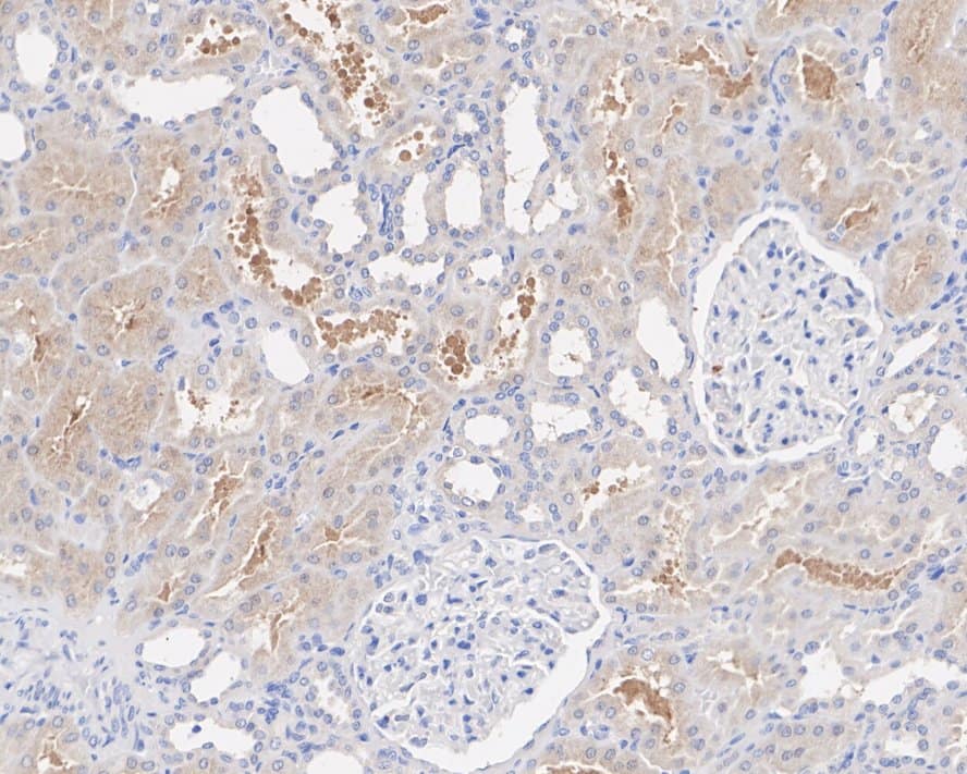
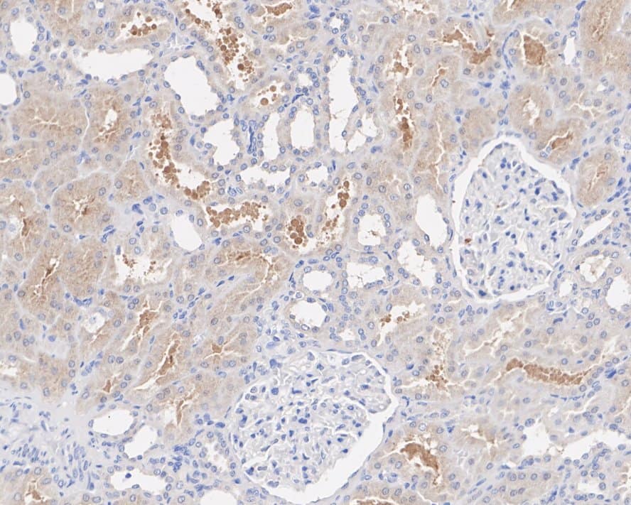
NSUN3 Antibody (PSH01-97)
NSUN3 Antibody (PSH01-97)
NBP3-32665
Species: Hu, Mu, Rt
Applications: WB, Flow, ICC/IF, IHC
Host: Rabbit Monoclonal
NSUN3 Antibody - BSA Free
NSUN3 Antibody - BSA Free
NBP1-83595
Species: Hu
Applications: WB, IHC
Host: Rabbit Polyclonal
Formulation Catalog # Availability Price  
NSUN3 Antibody - Azide and BS ...
NSUN3 Antibody - Azide and BSA Free
NBP2-93549
Species: Hu, Mu, Rt
Applications: WB
Host: Rabbit Polyclonal
Formulation Catalog # Availability Price  
Lysates
NSUN3 Overexpression Lysate
NSUN3 Overexpression Lysate
NBL1-13815
Species: Hu
Applications: WB
Proteins
Recombinant Human NSUN3 GST ( ...
Recombinant Human NSUN3 GST (N-Ter...
H00063899-P01
Species: Hu
Applications: WB, ELISA, MA, AP
NSUN3 Recombinant Protein Ant ...
NSUN3 Recombinant Protein Antigen
NBP2-58292PEP
Species: Hu
Applications: AC
NSUN3 Recombinant Protein Ant ...
NSUN3 Recombinant Protein Antigen
NBP1-83595PEP
Species: Hu
Applications: AC

Description

NSUN3 may have S-adenosyl-L-methionine-dependent methyl-transferase activity (Potential)

Bioinformatics

Uniprot Human
Human
Human
Human
Product By Gene ID 63899
Alternate Names
  • EC 2.1.1
  • EC 2.1.1.-
  • FLJ22109
  • FLJ22609
  • MST077
  • NOL1/NOP2/Sun domain family 3
  • NOL1/NOP2/Sun domain family member 3
  • NOL1/NOP2/Sun domain family, member 3
  • NOP2/Sun domain family, member 3
  • putative methyltransferase NSUN3