Skip to main content
Support: 1-888-506-6887
Items in Cart (
0
)
[X]
Quick Order
Account
COVID-19 Research Tools
Antibodies
Primary Antibodies
Conjugated Antibodies
Sample Size Antibodies
KO Validated Antibodies
Recombinant Antibodies
Antibody Sampler Packs
Antibody Pairs
Secondary Antibodies
Isotype Control Antibodies
Proteins and Peptides
Peptides & Proteins
Blocking Peptides
Biologically Active Proteins
Lysates and Cell Lines
Lysates
Stem Cell Lines
Kits
Antibody Labeling Kits
ChIP Kits
ELISA Kits
Flow Cytometry Kits
Activators and Inhibitors
Inhibitors
Activators
Support Products
Exosome Isolation
Flow Cytometry Beads
IHC Tissue Slides
IHC Microarrays
Western Blot Gels & Buffers
Western Blot Membranes
All Support Products
Bulk and Custom
Products
Our Protocols
Resources
Protocols
Video Protocols
Troubleshooting Guides
Posters and Literature
Handbooks and Guides
Calculators
FAQs
Blogs
Diseases
Whitepapers
Webinars
Tools
Spectra Viewer
Flow Cytometry Panel Builder
Application
ELISA
Flow Cytometry
Mass Cytometry (CyTOF)
ICC
IHC
Western Blotting
Interviews
Faculty
Postdoc
Resources
View Pathways
By Research Area
Apoptosis
Autophagy
Cancer
Cell Biology
Cellular Markers
Epigenetics
Epitope Tags
Exosomes Research
Hypoxia
Immunology
Microbiology
Neuroscience
Stem Cells
By Pathway
AKT
Apoptosis
Autophagy
ERK1/2/5 Pathway
Hedgehog
Hippo
JNK Pathway
mTOR
Necroptosis
NFKB Signaling
p38 Signaling
TGF Beta
TLR
Research Areas
Get Rewards
Customer Care
100% Guarantee
Risk Free Testing
Novus Rewards Program
Publication Rewards Program
Scholarship
Travel Grants
Customer Care
Novus Careers
About us
Careers
Collaborations
Events
Novus Story
Our Team
Philanthropy
Press Releases
Why choose Novus
About Us
Contact Us
Customer Service
Distributors
Technical Support
Contact
Home
» Neurexophilin 2 Products
Neurexophilin 2 Products
Neurexophilin 2 Antibodies (3)
Neurexophilin 2 Lysate (1)
Neurexophilin 2 Proteins (2)
Antibodies
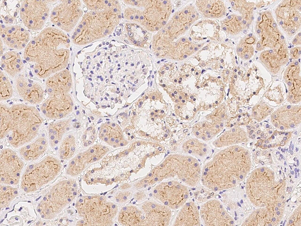
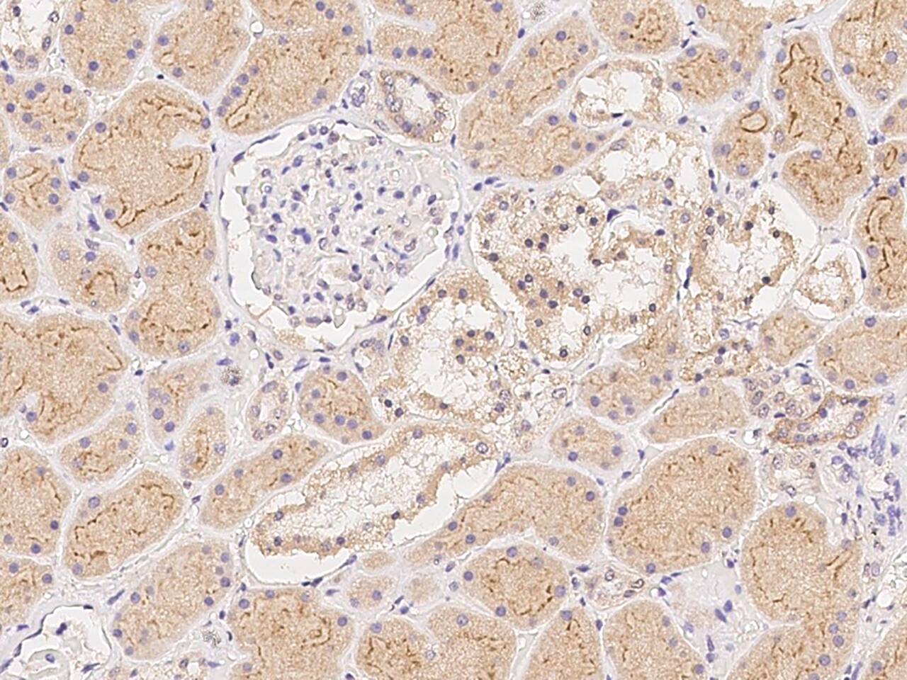
Neurexophilin 2 Antibody - BS ...
Neurexophilin 2 Antibody - BSA Free
NBP3-05854
Species:
Hu
Applications:
IHC
Host:
Rabbit Polyclonal
Conjugates
Conjugate
Catalog #
Availability
Size
Price
Alexa Fluor 350
NBP3-05854AF350
Alexa Fluor 405
NBP3-05854AF405
Alexa Fluor 488
NBP3-05854AF488
Alexa Fluor 532
NBP3-05854AF532
Alexa Fluor 594
NBP3-05854AF594
Alexa Fluor 647
NBP3-05854AF647
Alexa Fluor 700
NBP3-05854AF700
Alexa Fluor 750
NBP3-05854AF750
Alexa Fluor Plus 488
NBP3-05854AFP488
Alexa Fluor Plus 555
NBP3-05854AFP555
Alexa Fluor Plus 594
NBP3-05854AFP594
Alexa Fluor Plus 647
NBP3-05854AFP647
Alexa Fluor Plus 680
NBP3-05854AFP680
Allophycocyanin
NBP3-05854APC
Biotin
NBP3-05854B
CoraFluor 1
NBP3-05854CL1
DyLight 350
NBP3-05854UV
DyLight 405
NBP3-05854V
DyLight 488
NBP3-05854G
DyLight 550
NBP3-05854R
DyLight 594
NBP3-05854DL594
DyLight 650
NBP3-05854C
DyLight 680
NBP3-05854FR
DyLight 755
NBP3-05854IR
FITC
NBP3-05854F
HRP
NBP3-05854H
Janelia Fluor 525
NBP3-05854JF525
Janelia Fluor 549
NBP3-05854JF549
Janelia Fluor 646
NBP3-05854JF646
Janelia Fluor 669
NBP3-05854JF669
PE
NBP3-05854PE
PerCP
NBP3-05854PCP
mFluor Violet 450 SE
NBP3-05854MFV450
mFluor Violet 500 SE
NBP3-05854MFV500
mFluor Violet 610 SE
NBP3-05854MFV610
Formulations
Formulation
Catalog #
Availability
Price
BSA Free
NBP3-05854-100ul
BSA Free
NBP3-05854-50ul
Neurexophilin 2 Antibody - BS ...
Neurexophilin 2 Antibody - BSA Free
NBP1-87380
Species:
Hu
Applications:
IHC
Host:
Rabbit Polyclonal
Formulations
Formulation
Catalog #
Availability
Price
BSA Free
NBP1-87380-25ul
Neurexophilin 2 Antibody - BS ...
Neurexophilin 2 Antibody - BSA Free
NBP2-83264
Species:
Hu
Applications:
WB
Host:
Rabbit Polyclonal
Formulations
Formulation
Catalog #
Availability
Price
BSA Free
NBP2-83264-0.1ml
Read More
Read More
Read More
We have 3 Neurexophilin 2 Antibodies
Lysates
Neurexophilin 2 Overexpressio ...
Neurexophilin 2 Overexpression Lysate
NBP2-10377
Species:
Hu
Applications:
WB
Read More
We have 1 Neurexophilin 2 Lysate
Proteins
Recombinant Human Neurexophil ...
Recombinant Human Neurexophilin 2 ...
H00011249-P01
Species:
Hu
Applications:
WB, ELISA, MA, PAGE, AP
Neurexophilin 2 Recombinant P ...
Neurexophilin 2 Recombinant Protei...
NBP1-87380PEP
Species:
Hu
Applications:
AC
Read More
Read More
We have 2 Neurexophilin 2 Proteins
Description
Neurexophilin 2 may be signaling molecules that resemble neuropeptides and that act by binding to alpha-neurexins and possibly other receptors (Potential)
Bioinformatics
Uniprot
NP_009157
Human
NP_009157.1
Human
O95156
Human
Product By Gene ID
11249
Alternate Names
MGC125477
MGC125478
MGC125479
neurexophilin 2
neurexophilin-2
NPH2MGC125480
Research Areas for Neurexophilin 2
Find related products by research area and learn more about each of the different research areas below.
Neuroscience
Need help?
×
How can we help you?
Close
Start Chat