Skip to main content
Support: 1-888-506-6887
Items in Cart (
0
)
[X]
Quick Order
Account
COVID-19 Research Tools
Antibodies
Primary Antibodies
Conjugated Antibodies
Sample Size Antibodies
KO Validated Antibodies
Recombinant Antibodies
Antibody Sampler Packs
Antibody Pairs
Secondary Antibodies
Isotype Control Antibodies
Proteins and Peptides
Peptides & Proteins
Blocking Peptides
Biologically Active Proteins
Lysates and Cell Lines
Lysates
Stem Cell Lines
Kits
Antibody Labeling Kits
ChIP Kits
ELISA Kits
Flow Cytometry Kits
Activators and Inhibitors
Inhibitors
Activators
Support Products
Exosome Isolation
Flow Cytometry Beads
IHC Tissue Slides
IHC Microarrays
Western Blot Gels & Buffers
Western Blot Membranes
All Support Products
Bulk and Custom
Products
Our Protocols
Resources
Protocols
Video Protocols
Troubleshooting Guides
Posters and Literature
Handbooks and Guides
Calculators
FAQs
Blogs
Diseases
Whitepapers
Webinars
Tools
Spectra Viewer
Flow Cytometry Panel Builder
Application
ELISA
Flow Cytometry
Mass Cytometry (CyTOF)
ICC
IHC
Western Blotting
Interviews
Faculty
Postdoc
Resources
View Pathways
By Research Area
Apoptosis
Autophagy
Cancer
Cell Biology
Cellular Markers
Epigenetics
Epitope Tags
Exosomes Research
Hypoxia
Immunology
Microbiology
Neuroscience
Stem Cells
By Pathway
AKT
Apoptosis
Autophagy
ERK1/2/5 Pathway
Hedgehog
Hippo
JNK Pathway
mTOR
Necroptosis
NFKB Signaling
p38 Signaling
TGF Beta
TLR
Research Areas
Get Rewards
Customer Care
100% Guarantee
Risk Free Testing
Novus Rewards Program
Publication Rewards Program
Scholarship
Travel Grants
Customer Care
Novus Careers
About us
Careers
Collaborations
Events
Novus Story
Our Team
Philanthropy
Press Releases
Why choose Novus
About Us
Contact Us
Customer Service
Distributors
Technical Support
Contact
Home
» LMBRD2 Products
LMBRD2 Products
LMBRD2 Antibodies (2)
LMBRD2 Protein (1)
Antibodies
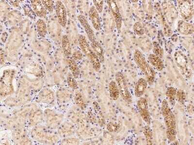
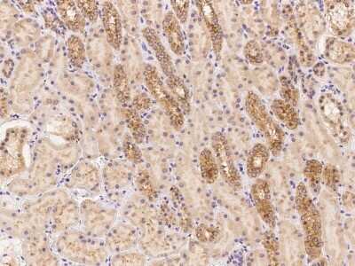
LMBRD2 Antibody - BSA Free
LMBRD2 Antibody - BSA Free
NBP1-90551
Species:
Hu, Rt
Applications:
ICC/IF, IHC
Host:
Rabbit Polyclonal
Formulations
Formulation
Catalog #
Availability
Price
BSA Free
NBP1-90551-25ul
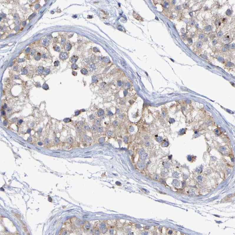
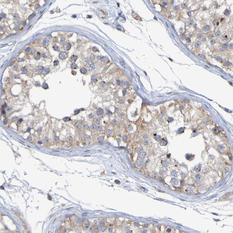
LMBRD2 Antibody - BSA Free
LMBRD2 Antibody - BSA Free
NBP3-06641
Species:
Hu
Applications:
ICC/IF, IHC
Host:
Rabbit Polyclonal
Conjugates
Conjugate
Catalog #
Availability
Size
Price
Alexa Fluor 350
NBP3-06641AF350
Alexa Fluor 405
NBP3-06641AF405
Alexa Fluor 488
NBP3-06641AF488
Alexa Fluor 532
NBP3-06641AF532
Alexa Fluor 594
NBP3-06641AF594
Alexa Fluor 647
NBP3-06641AF647
Alexa Fluor 700
NBP3-06641AF700
Alexa Fluor 750
NBP3-06641AF750
Alexa Fluor Plus 488
NBP3-06641AFP488
Alexa Fluor Plus 555
NBP3-06641AFP555
Alexa Fluor Plus 594
NBP3-06641AFP594
Alexa Fluor Plus 647
NBP3-06641AFP647
Alexa Fluor Plus 680
NBP3-06641AFP680
Allophycocyanin
NBP3-06641APC
Biotin
NBP3-06641B
CoraFluor 1
NBP3-06641CL1
DyLight 350
NBP3-06641UV
DyLight 405
NBP3-06641V
DyLight 488
NBP3-06641G
DyLight 550
NBP3-06641R
DyLight 594
NBP3-06641DL594
DyLight 650
NBP3-06641C
DyLight 680
NBP3-06641FR
DyLight 755
NBP3-06641IR
FITC
NBP3-06641F
HRP
NBP3-06641H
Janelia Fluor 525
NBP3-06641JF525
Janelia Fluor 549
NBP3-06641JF549
Janelia Fluor 646
NBP3-06641JF646
Janelia Fluor 669
NBP3-06641JF669
PE
NBP3-06641PE
PerCP
NBP3-06641PCP
mFluor Violet 450 SE
NBP3-06641MFV450
mFluor Violet 500 SE
NBP3-06641MFV500
mFluor Violet 610 SE
NBP3-06641MFV610
Formulations
Formulation
Catalog #
Availability
Price
BSA Free
NBP3-06641-100ul
BSA Free
NBP3-06641-50ul
Read More
Read More
We have 2 LMBRD2 Antibodies
Proteins
LMBRD2 Recombinant Protein An ...
LMBRD2 Recombinant Protein Antigen
NBP1-90551PEP
Species:
Hu
Applications:
AC
Read More
We have 1 LMBRD2 Protein
Bioinformatics
Uniprot
Q68DH5
Human
Product By Gene ID
92255
Alternate Names
DKFZp686G1057
LMBR1 domain containing 2
LMBR1 domain-containing protein 2
MGC125692
MGC125693
Need help?
×
How can we help you?
Close
Start Chat