Skip to main content
Support: 1-888-506-6887
Items in Cart (
0
)
[X]
Quick Order
Account
COVID-19 Research Tools
Antibodies
Primary Antibodies
Conjugated Antibodies
Sample Size Antibodies
KO Validated Antibodies
Recombinant Antibodies
Antibody Sampler Packs
Antibody Pairs
Secondary Antibodies
Isotype Control Antibodies
Proteins and Peptides
Peptides & Proteins
Blocking Peptides
Biologically Active Proteins
Lysates and Cell Lines
Lysates
Stem Cell Lines
Kits
Antibody Labeling Kits
ChIP Kits
ELISA Kits
Flow Cytometry Kits
Activators and Inhibitors
Inhibitors
Activators
Support Products
Exosome Isolation
Flow Cytometry Beads
IHC Tissue Slides
IHC Microarrays
Western Blot Gels & Buffers
Western Blot Membranes
All Support Products
Bulk and Custom
Products
Our Protocols
Resources
Protocols
Video Protocols
Troubleshooting Guides
Posters and Literature
Handbooks and Guides
Calculators
FAQs
Blogs
Diseases
Whitepapers
Webinars
Tools
Spectra Viewer
Flow Cytometry Panel Builder
Application
ELISA
Flow Cytometry
Mass Cytometry (CyTOF)
ICC
IHC
Western Blotting
Interviews
Faculty
Postdoc
Resources
View Pathways
By Research Area
Apoptosis
Autophagy
Cancer
Cell Biology
Cellular Markers
Epigenetics
Epitope Tags
Exosomes Research
Hypoxia
Immunology
Microbiology
Neuroscience
Stem Cells
By Pathway
AKT
Apoptosis
Autophagy
ERK1/2/5 Pathway
Hedgehog
Hippo
JNK Pathway
mTOR
Necroptosis
NFKB Signaling
p38 Signaling
TGF Beta
TLR
Research Areas
Get Rewards
Customer Care
100% Guarantee
Risk Free Testing
Novus Rewards Program
Publication Rewards Program
Scholarship
Travel Grants
Customer Care
Novus Careers
About us
Careers
Collaborations
Events
Novus Story
Our Team
Philanthropy
Press Releases
Why choose Novus
About Us
Contact Us
Customer Service
Distributors
Technical Support
Contact
Home
» Keratin 31 Products
Keratin 31 Products
Keratin 31 Antibodies (6)
Keratin 31 Proteins (2)
Antibodies
Keratin 31 Antibody - BSA Fre ...
Keratin 31 Antibody - BSA Free
NBP2-46823
Species:
Hu
Applications:
IHC
Host:
Rabbit Polyclonal
Formulations
Formulation
Catalog #
Availability
Price
BSA Free
NBP2-46823-25ul
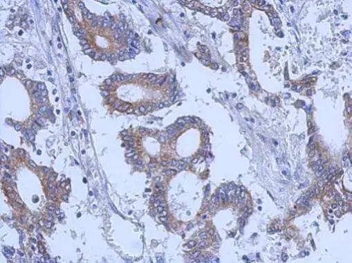
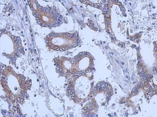
Keratin 31 Antibody
Keratin 31 Antibody
NBP3-48496
Species:
Hu
Applications:
WB, ICC/IF, IHC
Host:
Rabbit Polyclonal
Keratin 31 Antibody (LHTric-1 ...
Keratin 31 Antibody (LHTric-1) - B...
NBP2-53114
Species:
Hu, Rt
Applications:
WB, IHC
Host:
Mouse Monoclonal
Conjugates
Conjugate
Catalog #
Availability
Size
Price
Alexa Fluor 350
NBP2-53114AF350
Alexa Fluor 405
NBP2-53114AF405
Alexa Fluor 488
NBP2-53114AF488
Alexa Fluor 532
NBP2-53114AF532
Alexa Fluor 594
NBP2-53114AF594
Alexa Fluor 647
NBP2-53114AF647
Alexa Fluor 700
NBP2-53114AF700
Alexa Fluor 750
NBP2-53114AF750
Allophycocyanin
NBP2-53114APC
Biotin
NBP2-53114B
CoraFluor 1
NBP2-53114CL1
DyLight 350
NBP2-53114UV
DyLight 405
NBP2-53114V
DyLight 488
NBP2-53114G
DyLight 550
NBP2-53114R
DyLight 594
NBP2-53114DL594
DyLight 650
NBP2-53114C
DyLight 680
NBP2-53114FR
DyLight 755
NBP2-53114IR
FITC
NBP2-53114F
HRP
NBP2-53114H
Janelia Fluor 525
NBP2-53114JF525
Janelia Fluor 549
NBP2-53114JF549
Janelia Fluor 646
NBP2-53114JF646
Janelia Fluor 669
NBP2-53114JF669
PE
NBP2-53114PE
PerCP
NBP2-53114PCP
mFluor Violet 450 SE
NBP2-53114MFV450
mFluor Violet 500 SE
NBP2-53114MFV500
mFluor Violet 610 SE
NBP2-53114MFV610
Formulations
Formulation
Catalog #
Availability
Price
BSA Free
NBP2-53114-0.025mg
Read More
Read More
Read More
We have 6 Keratin 31 Antibodies
Proteins
Keratin 31 Recombinant Protei ...
Keratin 31 Recombinant Protein Ant...
NBP2-46823PEP
Species:
Hu
Applications:
AC
Keratin 31 Recombinant Protei ...
Keratin 31 Recombinant Protein Ant...
NBP2-33572PEP
Species:
Hu
Applications:
AC
Read More
Read More
We have 2 Keratin 31 Proteins
Bioinformatics
Product By Gene ID
3881
Alternate Names
Hair Keratin, Type I Ha
Hard Keratin, Type I, 1
hHa1
K31
Keratin 31
Keratin, Hair, Acidic, 1
Keratin, Type I Cuticular Ha1
Keratin-31
KRTHA1
Need help?
×
How can we help you?
Close
Start Chat