KATNBL1 Products

Antibodies
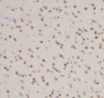
KATNBL1 Antibody - BSA Free
KATNBL1 Antibody - BSA Free
NBP2-31859
Species: Hu
Applications: WB, ICC/IF, IHC
Host: Rabbit Polyclonal
Formulation Catalog # Availability Price  
KATNBL1 Antibody - BSA Free
KATNBL1 Antibody - BSA Free
NBP3-47818
Species: Hu, Mu, Rt
Applications: WB, ELISA, IHC
Host: Rabbit Polyclonal
KATNBL1 Antibody - BSA Free
KATNBL1 Antibody - BSA Free
NBP2-83097
Species: Hu
Applications: WB
Host: Rabbit Polyclonal
Formulation Catalog # Availability Price  
Proteins
KATNBL1 Recombinant Protein A ...
KATNBL1 Recombinant Protein Antigen
NBP2-31859PEP
Species: Hu
Applications: AC

Description

C15orf29( AAH26234, 1 a.a. - 305 a.a.) full-length recombinant protein with GST.

Bioinformatics

Entrez Human
Uniprot Human
Human
Product By Gene ID 79768
Alternate Names
  • C15orf29
  • chromosome 15 open reading frame 29
  • FLJ22557
  • hypothetical protein LOC79768
  • MGC117356