Skip to main content
Support: 1-888-506-6887
Items in Cart (
0
)
[X]
Quick Order
Account
COVID-19 Research Tools
Antibodies
Primary Antibodies
Conjugated Antibodies
Sample Size Antibodies
KO Validated Antibodies
Recombinant Antibodies
Antibody Sampler Packs
Antibody Pairs
Secondary Antibodies
Isotype Control Antibodies
Proteins and Peptides
Peptides & Proteins
Blocking Peptides
Biologically Active Proteins
Lysates and Cell Lines
Lysates
Stem Cell Lines
Kits
Antibody Labeling Kits
ChIP Kits
ELISA Kits
Flow Cytometry Kits
Activators and Inhibitors
Inhibitors
Activators
Support Products
Exosome Isolation
Flow Cytometry Beads
IHC Tissue Slides
IHC Microarrays
Western Blot Gels & Buffers
Western Blot Membranes
All Support Products
Bulk and Custom
Products
Our Protocols
Resources
Protocols
Video Protocols
Troubleshooting Guides
Posters and Literature
Handbooks and Guides
Calculators
FAQs
Blogs
Diseases
Whitepapers
Webinars
Tools
Spectra Viewer
Flow Cytometry Panel Builder
Application
ELISA
Flow Cytometry
Mass Cytometry (CyTOF)
ICC
IHC
Western Blotting
Interviews
Faculty
Postdoc
Resources
View Pathways
By Research Area
Apoptosis
Autophagy
Cancer
Cell Biology
Cellular Markers
Epigenetics
Epitope Tags
Exosomes Research
Hypoxia
Immunology
Microbiology
Neuroscience
Stem Cells
By Pathway
AKT
Apoptosis
Autophagy
ERK1/2/5 Pathway
Hedgehog
Hippo
JNK Pathway
mTOR
Necroptosis
NFKB Signaling
p38 Signaling
TGF Beta
TLR
Research Areas
Get Rewards
Customer Care
100% Guarantee
Risk Free Testing
Novus Rewards Program
Publication Rewards Program
Scholarship
Travel Grants
Customer Care
Novus Careers
About us
Careers
Collaborations
Events
Novus Story
Our Team
Philanthropy
Press Releases
Why choose Novus
About Us
Contact Us
Customer Service
Distributors
Technical Support
Contact
Home
» JMJD4 Products
JMJD4 Products
JMJD4 Antibodies (11)
JMJD4 Proteins (2)
Antibodies
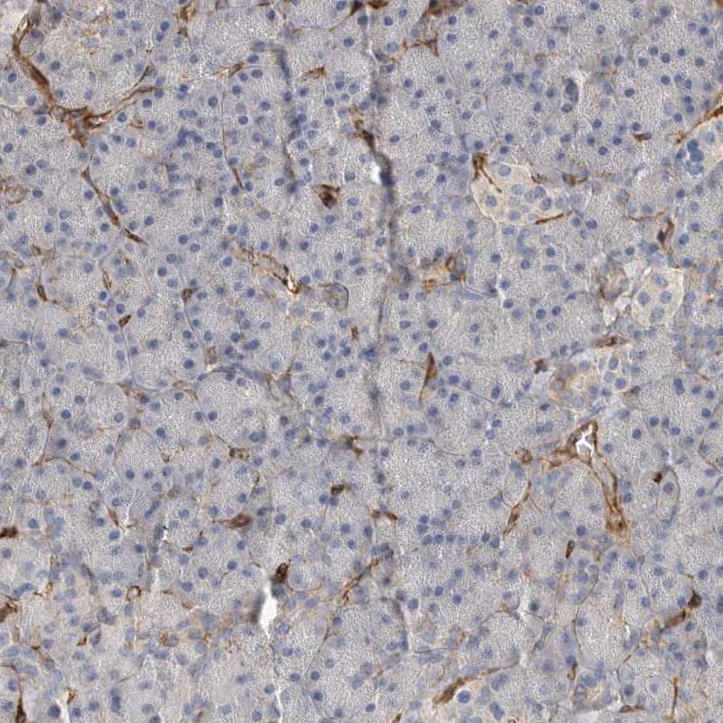
JMJD4 Antibody - BSA Free
JMJD4 Antibody - BSA Free
NBP1-94032
Species:
Hu
Applications:
ICC/IF, IHC
Host:
Rabbit Polyclonal
Formulations
Formulation
Catalog #
Availability
Price
BSA Free
NBP1-94032-25ul
JMJD4 Antibody - BSA Free
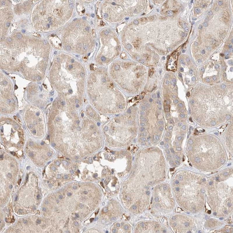
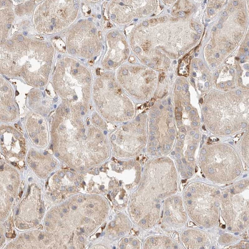
JMJD4 Antibody - BSA Free
NBP2-82098
Species:
Hu, Rt
Applications:
WB, ELISA, ICC/IF, IHC
Host:
Rabbit Polyclonal
Conjugates
Conjugate
Catalog #
Availability
Size
Price
Alexa Fluor 350
NBP2-82098AF350
Alexa Fluor 405
NBP2-82098AF405
Alexa Fluor 488
NBP2-82098AF488
Alexa Fluor 532
NBP2-82098AF532
Alexa Fluor 594
NBP2-82098AF594
Alexa Fluor 647
NBP2-82098AF647
Alexa Fluor 700
NBP2-82098AF700
Alexa Fluor 750
NBP2-82098AF750
Allophycocyanin
NBP2-82098APC
Biotin
NBP2-82098B
CoraFluor 1
NBP2-82098CL1
DyLight 350
NBP2-82098UV
DyLight 405
NBP2-82098V
DyLight 488
NBP2-82098G
DyLight 550
NBP2-82098R
DyLight 594
NBP2-82098DL594
DyLight 650
NBP2-82098C
DyLight 680
NBP2-82098FR
DyLight 755
NBP2-82098IR
FITC
NBP2-82098F
HRP
NBP2-82098H
Janelia Fluor 525
NBP2-82098JF525
Janelia Fluor 549
NBP2-82098JF549
Janelia Fluor 646
NBP2-82098JF646
Janelia Fluor 669
NBP2-82098JF669
PE
NBP2-82098PE
PerCP
NBP2-82098PCP
mFluor Violet 450 SE
NBP2-82098MFV450
mFluor Violet 500 SE
NBP2-82098MFV500
mFluor Violet 610 SE
NBP2-82098MFV610
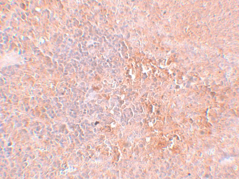
JMJD4 Antibody (JMJD4/32b/H12 ...
JMJD4 Antibody (JMJD4/32b/H12) - B...
NBP2-50425
Species:
Hu
Applications:
WB, ELISA, IHC, IP, Mycoplasma
Host:
Mouse Monoclonal
Conjugates
Conjugate
Catalog #
Availability
Size
Price
Alexa Fluor 350
NBP2-50425AF350
Alexa Fluor 405
NBP2-50425AF405
Alexa Fluor 488
NBP2-50425AF488
Alexa Fluor 532
NBP2-50425AF532
Alexa Fluor 594
NBP2-50425AF594
Alexa Fluor 647
NBP2-50425AF647
Alexa Fluor 700
NBP2-50425AF700
Alexa Fluor 750
NBP2-50425AF750
Biotin
NBP2-50425B
CoraFluor 1
NBP2-50425CL1
DyLight 350
NBP2-50425UV
DyLight 405
NBP2-50425V
DyLight 488
NBP2-50425G
DyLight 550
NBP2-50425R
DyLight 594
NBP2-50425DL594
DyLight 650
NBP2-50425C
DyLight 680
NBP2-50425FR
DyLight 755
NBP2-50425IR
FITC
NBP2-50425F
HRP
NBP2-50425H
Janelia Fluor 525
NBP2-50425JF525
Janelia Fluor 549
NBP2-50425JF549
Janelia Fluor 646
NBP2-50425JF646
Janelia Fluor 669
NBP2-50425JF669
mFluor Violet 450 SE
NBP2-50425MFV450
mFluor Violet 500 SE
NBP2-50425MFV500
mFluor Violet 610 SE
NBP2-50425MFV610
Formulations
Formulation
Catalog #
Availability
Price
BSA Free
NBP2-50425-0.025ml
Read More
Read More
Read More
We have 11 JMJD4 Antibodies
Proteins
JMJD4 Recombinant Protein Ant ...
JMJD4 Recombinant Protein Antigen
NBP2-38680PEP
Species:
Hu
Applications:
AC
JMJD4 Recombinant Protein Ant ...
JMJD4 Recombinant Protein Antigen
NBP1-94032PEP
Species:
Hu
Applications:
AC
Read More
Read More
We have 2 JMJD4 Proteins
Bioinformatics
Uniprot
NP_075383
Human
NP_075383
Human
Product By Gene ID
65094
Alternate Names
FLJ12517
jumonji domain containing 4
jumonji domain-containing protein 4
Need help?
×
How can we help you?
Close
Start Chat