Skip to main content
Support: 1-888-506-6887
Items in Cart (
0
)
[X]
Quick Order
Account
COVID-19 Research Tools
Antibodies
Primary Antibodies
Conjugated Antibodies
Sample Size Antibodies
KO Validated Antibodies
Recombinant Antibodies
Antibody Sampler Packs
Antibody Pairs
Secondary Antibodies
Isotype Control Antibodies
Proteins and Peptides
Peptides & Proteins
Blocking Peptides
Biologically Active Proteins
Lysates and Cell Lines
Lysates
Stem Cell Lines
Kits
Antibody Labeling Kits
ChIP Kits
ELISA Kits
Flow Cytometry Kits
Activators and Inhibitors
Inhibitors
Activators
Support Products
Exosome Isolation
Flow Cytometry Beads
IHC Tissue Slides
IHC Microarrays
Western Blot Gels & Buffers
Western Blot Membranes
All Support Products
Bulk and Custom
Products
Our Protocols
Resources
Protocols
Video Protocols
Troubleshooting Guides
Posters and Literature
Handbooks and Guides
Calculators
FAQs
Blogs
Diseases
Whitepapers
Webinars
Tools
Spectra Viewer
Flow Cytometry Panel Builder
Application
ELISA
Flow Cytometry
Mass Cytometry (CyTOF)
ICC
IHC
Western Blotting
Interviews
Faculty
Postdoc
Resources
View Pathways
By Research Area
Apoptosis
Autophagy
Cancer
Cell Biology
Cellular Markers
Epigenetics
Epitope Tags
Exosomes Research
Hypoxia
Immunology
Microbiology
Neuroscience
Stem Cells
By Pathway
AKT
Apoptosis
Autophagy
ERK1/2/5 Pathway
Hedgehog
Hippo
JNK Pathway
mTOR
Necroptosis
NFKB Signaling
p38 Signaling
TGF Beta
TLR
Research Areas
Get Rewards
Customer Care
100% Guarantee
Risk Free Testing
Novus Rewards Program
Publication Rewards Program
Scholarship
Travel Grants
Customer Care
Novus Careers
About us
Careers
Collaborations
Events
Novus Story
Our Team
Philanthropy
Press Releases
Why choose Novus
About Us
Contact Us
Customer Service
Distributors
Technical Support
Contact
Home
» FAM217B Products
FAM217B Products
FAM217B Antibodies (5)
FAM217B Proteins (2)
Antibodies
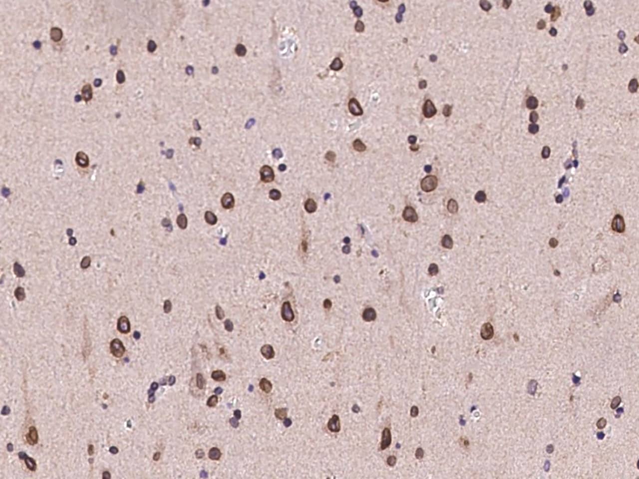
FAM217B Antibody - BSA Free
FAM217B Antibody - BSA Free
NBP1-94080
Species:
Hu
Applications:
WB, ICC/IF, IHC
Host:
Rabbit Polyclonal
Formulations
Formulation
Catalog #
Availability
Price
BSA Free
NBP1-94080-25ul
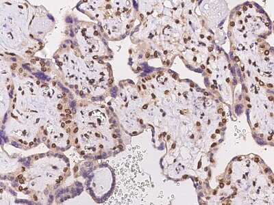
FAM217B Antibody - BSA Free
FAM217B Antibody - BSA Free
NBP2-98025
Species:
Hu
Applications:
ICC/IF, IHC
Host:
Rabbit Polyclonal
Conjugates
Conjugate
Catalog #
Availability
Size
Price
Alexa Fluor 350
NBP2-98025AF350
Alexa Fluor 405
NBP2-98025AF405
Alexa Fluor 488
NBP2-98025AF488
Alexa Fluor 532
NBP2-98025AF532
Alexa Fluor 594
NBP2-98025AF594
Alexa Fluor 647
NBP2-98025AF647
Alexa Fluor 700
NBP2-98025AF700
Alexa Fluor 750
NBP2-98025AF750
Alexa Fluor Plus 488
NBP2-98025AFP488
Alexa Fluor Plus 555
NBP2-98025AFP555
Alexa Fluor Plus 594
NBP2-98025AFP594
Alexa Fluor Plus 647
NBP2-98025AFP647
Alexa Fluor Plus 680
NBP2-98025AFP680
Allophycocyanin
NBP2-98025APC
Biotin
NBP2-98025B
CoraFluor 1
NBP2-98025CL1
DyLight 350
NBP2-98025UV
DyLight 405
NBP2-98025V
DyLight 488
NBP2-98025G
DyLight 550
NBP2-98025R
DyLight 594
NBP2-98025DL594
DyLight 650
NBP2-98025C
DyLight 680
NBP2-98025FR
DyLight 755
NBP2-98025IR
FITC
NBP2-98025F
HRP
NBP2-98025H
Janelia Fluor 525
NBP2-98025JF525
Janelia Fluor 549
NBP2-98025JF549
Janelia Fluor 646
NBP2-98025JF646
Janelia Fluor 669
NBP2-98025JF669
PE
NBP2-98025PE
PerCP
NBP2-98025PCP
mFluor Violet 450 SE
NBP2-98025MFV450
mFluor Violet 500 SE
NBP2-98025MFV500
mFluor Violet 610 SE
NBP2-98025MFV610
Formulations
Formulation
Catalog #
Availability
Price
BSA Free
NBP2-98025-100ul
BSA Free
NBP2-98025-50ul
FAM217B Antibody - BSA Free
FAM217B Antibody - BSA Free
NBP2-55608
Species:
Hu
Applications:
ICC/IF
Host:
Rabbit Polyclonal
Formulations
Formulation
Catalog #
Availability
Price
BSA Free
NBP2-55608-25ul
Read More
Read More
Read More
We have 5 FAM217B Antibodies
Proteins
FAM217B Recombinant Protein A ...
FAM217B Recombinant Protein Antigen
NBP2-55608PEP
Species:
Hu
Applications:
AC
FAM217B Recombinant Protein A ...
FAM217B Recombinant Protein Antigen
NBP1-94080PEP
Species:
Hu
Applications:
AC
Read More
Read More
We have 2 FAM217B Proteins
Bioinformatics
Product By Gene ID
63939
Alternate Names
C20orf177
chromosome 20 open reading frame 177
dJ551D2.5
family with sequence similarity 217, member B
hypothetical protein LOC63939
Need help?
×
How can we help you?
Close
Start Chat