Skip to main content
Support: 1-888-506-6887
Items in Cart (
0
)
[X]
Quick Order
Account
COVID-19 Research Tools
Antibodies
Primary Antibodies
Conjugated Antibodies
Sample Size Antibodies
KO Validated Antibodies
Recombinant Antibodies
Antibody Sampler Packs
Antibody Pairs
Secondary Antibodies
Isotype Control Antibodies
Proteins and Peptides
Peptides & Proteins
Blocking Peptides
Biologically Active Proteins
Lysates and Cell Lines
Lysates
Stem Cell Lines
Kits
Antibody Labeling Kits
ChIP Kits
ELISA Kits
Flow Cytometry Kits
Activators and Inhibitors
Inhibitors
Activators
Support Products
Exosome Isolation
Flow Cytometry Beads
IHC Tissue Slides
IHC Microarrays
Western Blot Gels & Buffers
Western Blot Membranes
All Support Products
Bulk and Custom
Products
Our Protocols
Resources
Protocols
Video Protocols
Troubleshooting Guides
Posters and Literature
Handbooks and Guides
Calculators
FAQs
Blogs
Diseases
Whitepapers
Webinars
Tools
Spectra Viewer
Flow Cytometry Panel Builder
Application
ELISA
Flow Cytometry
Mass Cytometry (CyTOF)
ICC
IHC
Western Blotting
Interviews
Faculty
Postdoc
Resources
View Pathways
By Research Area
Apoptosis
Autophagy
Cancer
Cell Biology
Cellular Markers
Epigenetics
Epitope Tags
Exosomes Research
Hypoxia
Immunology
Microbiology
Neuroscience
Stem Cells
By Pathway
AKT
Apoptosis
Autophagy
ERK1/2/5 Pathway
Hedgehog
Hippo
JNK Pathway
mTOR
Necroptosis
NFKB Signaling
p38 Signaling
TGF Beta
TLR
Research Areas
Get Rewards
Customer Care
100% Guarantee
Risk Free Testing
Novus Rewards Program
Publication Rewards Program
Scholarship
Travel Grants
Customer Care
Novus Careers
About us
Careers
Collaborations
Events
Novus Story
Our Team
Philanthropy
Press Releases
Why choose Novus
About Us
Contact Us
Customer Service
Distributors
Technical Support
Contact
Home
» FABP12 Products
FABP12 Products
FABP12 Antibodies (4)
FABP12 ELISA Kit (1)
FABP12 Lysate (1)
FABP12 Proteins (2)
Antibodies
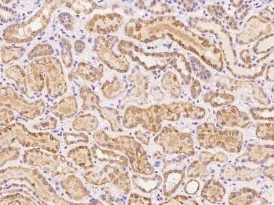
FABP12 Antibody - BSA Free
FABP12 Antibody - BSA Free
NBP1-93537
Species:
Hu
Applications:
IHC
Host:
Rabbit Polyclonal
Formulations
Formulation
Catalog #
Availability
Price
BSA Free
NBP1-93537-25ul
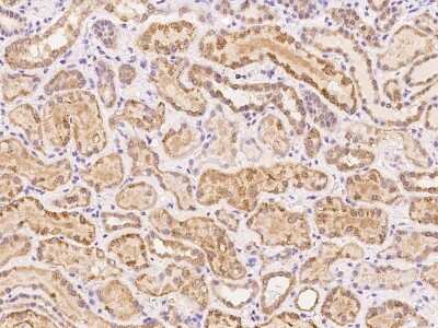
FABP12 Antibody - BSA Free
FABP12 Antibody - BSA Free
NBP2-98167
Species:
Hu
Applications:
IHC
Host:
Rabbit Polyclonal
Conjugates
Conjugate
Catalog #
Availability
Size
Price
Alexa Fluor 350
NBP2-98167AF350
Alexa Fluor 405
NBP2-98167AF405
Alexa Fluor 488
NBP2-98167AF488
Alexa Fluor 532
NBP2-98167AF532
Alexa Fluor 594
NBP2-98167AF594
Alexa Fluor 647
NBP2-98167AF647
Alexa Fluor 700
NBP2-98167AF700
Alexa Fluor 750
NBP2-98167AF750
Alexa Fluor Plus 488
NBP2-98167AFP488
Alexa Fluor Plus 555
NBP2-98167AFP555
Alexa Fluor Plus 594
NBP2-98167AFP594
Alexa Fluor Plus 647
NBP2-98167AFP647
Alexa Fluor Plus 680
NBP2-98167AFP680
Allophycocyanin
NBP2-98167APC
Biotin
NBP2-98167B
CoraFluor 1
NBP2-98167CL1
DyLight 350
NBP2-98167UV
DyLight 405
NBP2-98167V
DyLight 488
NBP2-98167G
DyLight 550
NBP2-98167R
DyLight 594
NBP2-98167DL594
DyLight 650
NBP2-98167C
DyLight 680
NBP2-98167FR
DyLight 755
NBP2-98167IR
FITC
NBP2-98167F
HRP
NBP2-98167H
Janelia Fluor 525
NBP2-98167JF525
Janelia Fluor 549
NBP2-98167JF549
Janelia Fluor 646
NBP2-98167JF646
Janelia Fluor 669
NBP2-98167JF669
PE
NBP2-98167PE
PerCP
NBP2-98167PCP
mFluor Violet 450 SE
NBP2-98167MFV450
mFluor Violet 500 SE
NBP2-98167MFV500
mFluor Violet 610 SE
NBP2-98167MFV610
Formulations
Formulation
Catalog #
Availability
Price
BSA Free
NBP2-98167-100ul
BSA Free
NBP2-98167-50ul
FABP12 Antibody - BSA Free
FABP12 Antibody - BSA Free
NBP3-04448
Species:
Hu, Rt
Applications:
WB
Host:
Rabbit Polyclonal
Formulations
Formulation
Catalog #
Availability
Price
BSA Free
NBP3-04448-100ul
BSA Free
NBP3-04448-20ul
Read More
Read More
Read More
We have 4 FABP12 Antibodies
ELISA Kits
Human FABP12 ELISA Kit (Color ...
Human FABP12 ELISA Kit (Colorimetric)
NBP2-82507
Species:
Hu
Applications:
ELISA
Read More
We have 1 FABP12 ELISA Kit
Lysates
FABP12 Overexpression Lysate
FABP12 Overexpression Lysate
NBP2-09356
Species:
Hu
Applications:
WB
Read More
We have 1 FABP12 Lysate
Proteins
Recombinant Human FABP12 His ...
Recombinant Human FABP12 His Protein
NBP1-98969
Species:
Hu
Applications:
PAGE
FABP12 Recombinant Protein An ...
FABP12 Recombinant Protein Antigen
NBP1-93537PEP
Species:
Hu
Applications:
AC
Read More
Read More
We have 2 FABP12 Proteins
Bioinformatics
Entrez
646486
Human
Uniprot
A6NFH5
Human
NP_001098751
Human
Product By Gene ID
646486
Alternate Names
fatty acid binding protein 12
Probable fatty acid-binding protein ENSP00000353650
Need help?
×
How can we help you?
Close
Start Chat