OPALIN Antibody (CL11142) - Azide and BSA Free

Images

 
Staining of human cerebellum shows strong cytoplasmic positivity in oligodendrocytes.
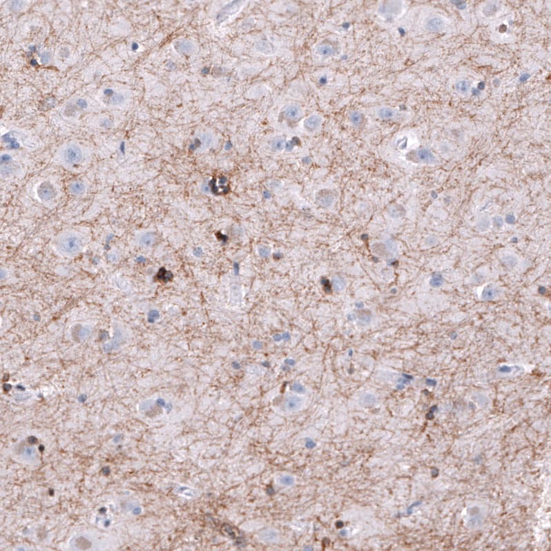
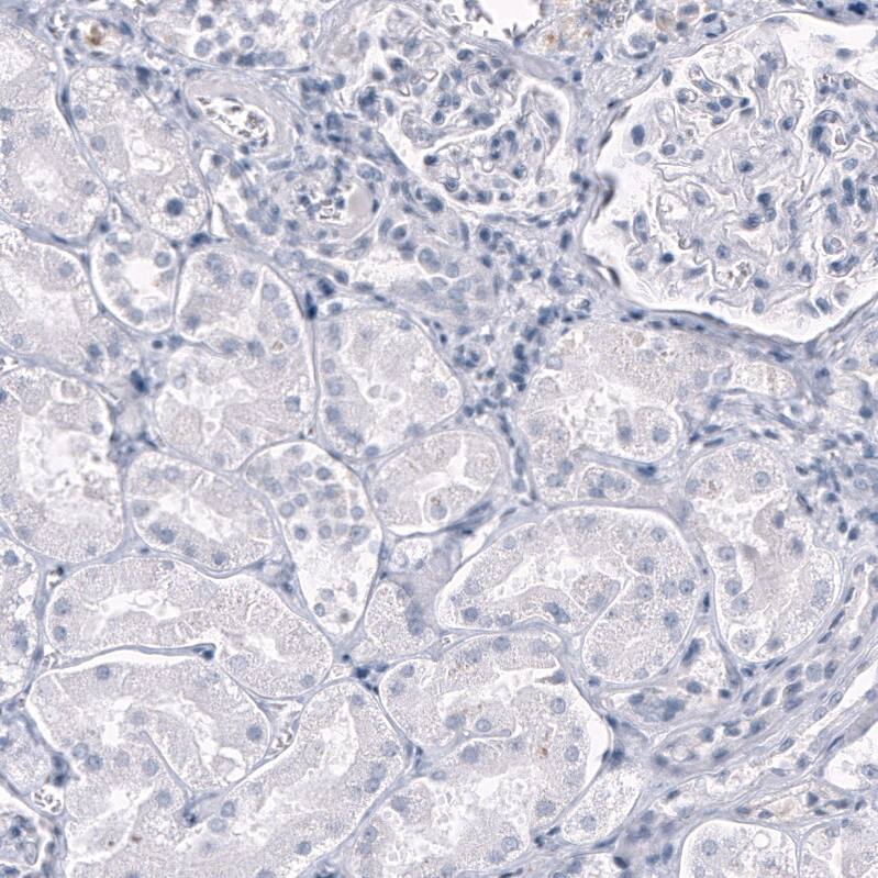
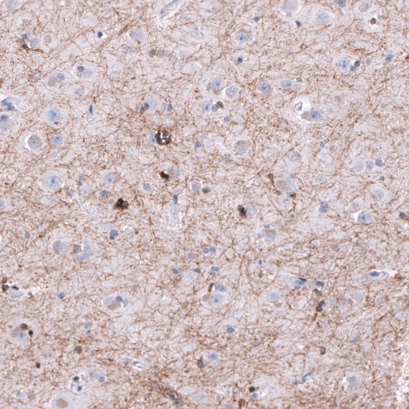
Orthogonal Strategies: Analysis in human cerebral cortex and kidney tissues using NBP3-44178 antibody. Corresponding OPALIN RNA-seq data are presented for the same tissues.
Staining of human kidney shows no positivity in cells in tubules as expected.
Staining of human cerebral cortex shows strong positivity in oligodendrocytes and myelinated fibers.
Staining of human prostate shows no positivity in glandular cells as expected.

Product Details

Summary
Reactivity HuSpecies Glossary
Applications IHC
Clone
CL11142
Clonality
Monoclonal
Host
Mouse
Conjugate
Unconjugated
Format
Azide and BSA Free
Concentration
LYOPH
Validated by:
       

Orthogonal Strategies

 

Order Details

OPALIN Antibody (CL11142) - Azide and BSA Free Summary

Description
Novus Biologicals Mouse OPALIN Antibody (CL11142) - Azide and BSA Free (NBP3-43641) is a monoclonal antibody validated for use in IHC. All Novus Biologicals antibodies are covered by our 100% guarantee.
Immunogen
This antibody was generated using a recombinant protein sequence of Q96PE5, with the exact immunogen sequence remaining proprietary.
Isotype
IgG1
Clonality
Monoclonal
Host
Mouse
Gene
OPALIN
Purity
Protein A purified
Innovator's Reward
Test in a species/application not listed above to receive a full credit towards a future purchase.

Applications/Dilutions

Dilutions
  • Immunohistochemistry-Paraffin 1:200 - 1:500
Application Notes
For IHC-Paraffin, HIER pH 6 retrieval is recommended.

Packaging, Storage & Formulations

Storage
Store at 4C short term. Aliquot and store at -20C long term. Avoid freeze-thaw cycles.
Buffer
Lyophilized from a 0.2 um filtered solution in PBS with Trehalose
Preservative
No Preservative
Concentration
LYOPH
Purity
Protein A purified
Reconstitution Instructions
Centrifuge the vial of lyophilized antibody at 12,000 x g for 20 seconds. Reconstitute by adding sterile, distilled water to achieve a final antibody concentration of 1mg/ml.

Alternate Names for OPALIN Antibody (CL11142) - Azide and BSA Free

  • HTMP10transmembrane protein TMP10
  • oligodendrocytic myelin paranodal and inner loop proteinTMEM10
  • TMP10
  • Transmembrane protein 10opalin

Limitations

This product is for research use only and is not approved for use in humans or in clinical diagnosis. Primary Antibodies are guaranteed for 1 year from date of receipt.

Customers Who Viewed This Item Also Viewed...

NB600-717
Species: Bv
Applications: ELISA, ICC/IF, IHC, IHC-Fr,  IHC-P, RIA, RI, WB
538-MG
Species: Rt
Applications: BA
NB100-2688
Species: Hu
Applications: Flow-CS, Flow, ICC/IF, IHC, IHC-Fr,  IHC-P, IP, KO, WB
NBP3-04784
Species: Hu, Mu, Rt
Applications: ELISA, ICC/IF, IHC,  IHC-P, WB
AF2307
Species: Hu
Applications: ELISA(Cap), ELISA(Det), ELISA(Sta), WB
NBP1-58359
Species: Hu
Applications: IHC,  IHC-P, WB
NBP2-25160
Species: Bv, Ca, Eq, Hu, Mu, Po, Rt
Applications: ICC/IF, IHC, WB
NBP1-81021
Species: Hu, Mu
Applications: ICC/IF, IHC,  IHC-P, IP
NBP2-27194
Species: Bv, Ch, Eq, Ha, Hu, Pm, Rt
Applications: ICC/IF, WB
AF1062
Species: Mu
Applications: Flow, IHC, Neut, WB
NB300-141
Species: Bv, Ch, Eq, Gp, Hu, Mu, Po, Rb, Rt
Applications: ICC/IF, IHC, IHC-Fr,  IHC-P, Simple Western, WB
7734-LF
Species: Hu
Applications: BA
NBP2-94913
Species: Hu, Mu, Rt
Applications: ELISA, IHC,  IHC-P, WB
NBP2-46617
Species: Hu, Mu, Rt
Applications: ICC/IF, IHC,  IHC-P, WB
NBP2-75563
Species: Hu, Mu, Rt
Applications: Flow, IHC,  IHC-P, WB
NBP2-02275
Species: Hu, Mu, Rt
Applications: Flow, ICC/IF, IHC,  IHC-P, WB
NBP2-00532
Species: Ca, Hu, Pm, Mu, Rt
Applications: Flow, ICC/IF, IHC,  IHC-P, WB
NBP3-44178
Species: Hu
Applications: IHC

Publications for OPALIN Antibody (NBP3-44178) (0)

There are no publications for OPALIN Antibody (NBP3-44178).
By submitting your publication information earn gift cards and discounts for future purchases.

Reviews for OPALIN Antibody (NBP3-44178) (0)

There are no reviews for OPALIN Antibody (NBP3-44178). By submitting a review you will receive an Amazon e-Gift Card or Novus Product Discount.
  • Review with no image -- $10/€7/£6/$10 CAD/¥70 Yuan/¥1110 Yen
  • Review with an image -- $25/€18/£15/$25 CAD/¥150 Yuan/¥2500 Yen

Product General Protocols

Find general support by application which include: protocols, troubleshooting, illustrated assays, videos and webinars.

FAQs for OPALIN Antibody (NBP3-44178) (0)

There are no specific FAQs related to this product. Read our general customer & technical service FAQs.

Customers Who Bought This Also Bought

Contact Information

Product PDFs

Calculators

Concentration Calculator

The concentration calculator allows you to quickly calculate the volume, mass or concentration of your vial. Simply enter your mass, volume, or concentration values for your reagent and the calculator will determine the rest.

=
÷

Review this Product

Be the first to review our OPALIN Antibody (CL11142) - Azide and BSA Free and receive a gift card or discount.

Bioinformatics

Gene Symbol OPALIN