MEK2 Antibody (SD207-08)

Images

 
Western Blot: MEK2 Antibody (SD207-08) [NBP2-67791] - Analysis of MEK2 on different lysates using anti-MEK2 antibody at 1/1,000 dilution. Positive control: Lane 1: Jurkat Lane 2: Hela Lane 3: 293T
Immunocytochemistry/ Immunofluorescence: MEK2 Antibody (SD207-08) [NBP2-67791] - ICC staining MEK2 in NIH/3T3 cells (green). The nuclear counter stain is DAPI (blue). Cells were fixed in paraformaldehyde, permeabilised ...read more
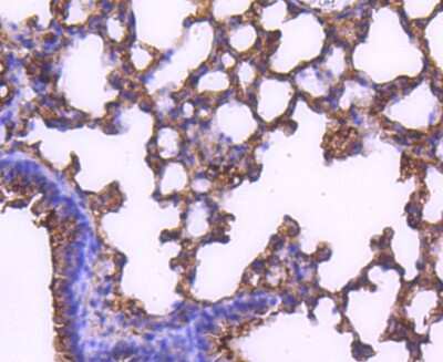
Immunohistochemistry-Paraffin: MEK2 Antibody (SD207-08) [NBP2-67791] - Analysis of paraffin-embedded mouse lung tissue using anti-MEK2 antibody. Counter stained with hematoxylin.
Flow Cytometry: MEK2 Antibody (SD207-08) [NBP2-67791] - Analysis of Hela cells with MEK2 antibody at 1/50 dilution (red) compared with an unlabelled control (cells without incubation with primary antibody; black). Alexa ...read more
Immunocytochemistry/ Immunofluorescence: MEK2 Antibody (SD207-08) [NBP2-67791] - Staining MEK2 in Hela cells (green). The nuclear counter stain is DAPI (blue). Cells were fixed in paraformaldehyde, permeabilised with ...read more
Immunocytochemistry/ Immunofluorescence: MEK2 Antibody (SD207-08) [NBP2-67791] - Staining MEK2 in NIH/3T3 cells (green). The nuclear counter stain is DAPI (blue). Cells were fixed in paraformaldehyde, permeabilised with ...read more
Immunohistochemistry-Paraffin: MEK2 Antibody (SD207-08) [NBP2-67791] - Analysis of paraffin-embedded human breast carcinoma tissue using anti-MEK2 antibody. Counter stained with hematoxylin.
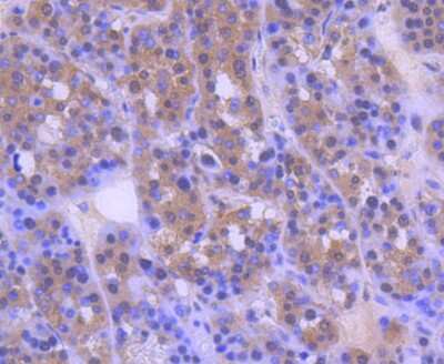
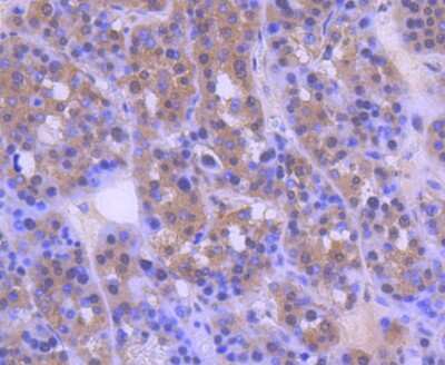
Immunohistochemistry-Paraffin: MEK2 Antibody (SD207-08) [NBP2-67791] - Analysis of paraffin-embedded human liver cancer tissue using anti-MEK2 antibody. Counter stained with hematoxylin.
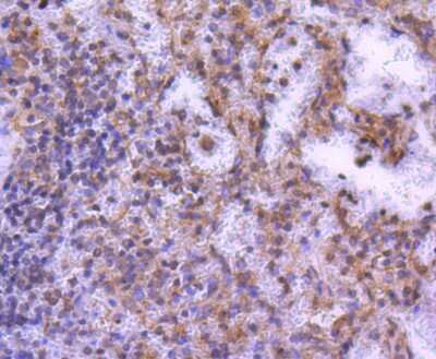
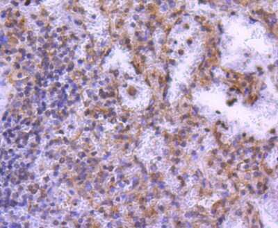
Immunohistochemistry-Paraffin: MEK2 Antibody (SD207-08) [NBP2-67791] - Analysis of paraffin-embedded human spleen tissue using anti-MEK2 antibody. Counter stained with hematoxylin.

Product Details

Summary
Product Discontinued
View other related MEK2 Primary Antibodies

Order Details


    • Catalog Number
      NBP2-67791
    • Availability
      Product Discontinued

    Can't find what you are looking for? Use our Antibody Concierge Service & we will help you locate your antibody!

    Or feel free to contact us for alternative products.

MEK2 Antibody (SD207-08) Summary

Additional Information
Recombinant Monoclonal Antibody.
Immunogen
Synthetic peptide within human MEK2 aa 1-50/400. (SwissProt: P36507 Human; SwissProt: Q63932 Mouse)
Localization
Cytoplasm, Membrane.
Isotype
IgG
Clonality
Monoclonal
Host
Rabbit
Gene
MAP2K2
Purity
Protein A purified
Innovator's Reward
Test in a species/application not listed above to receive a full credit towards a future purchase.

Applications/Dilutions

Dilutions
  • Flow Cytometry 1:50-1:100
  • Immunocytochemistry/ Immunofluorescence 1:100-1:500
  • Immunohistochemistry 1:10 - 1:500
  • Immunohistochemistry-Paraffin 1:100-1:500
  • Immunoprecipitation
  • Western Blot 1:1000-1:5000

Packaging, Storage & Formulations

Storage
Store at 4C short term. Aliquot and store at -20C long term. Avoid freeze-thaw cycles.
Buffer
TBS (pH7.4), 0.05% BSA, 40% Glycerol
Preservative
0.05% Sodium Azide
Concentration
1 mg/ml
Purity
Protein A purified

Alternate Names for MEK2 Antibody (SD207-08)

  • ERK activator kinase 2
  • MAP2K2
  • MAPKK 2
  • MEK 2
  • MEK2
  • MEK2EC 2.7.12.2
  • mitogen-activated protein kinase kinase 2
  • MKK2
  • MKK2FLJ26075
  • p45
  • PRKMK2MAPKK2

Background

MEK1 and MEK2 (MAPK kinase 1/2, or ERK kinase 1/2) are mitogen-activated protein kinases that stimulate MAP kinase activity, playing a role in both cell growth and differentiation (1,2). MEK itself is activated via phosphorylation at serines 217/218 and 221/222 by upstream activator kinases, including c-raf, mos and MEK kinase (3,4). MEK1 and MEK2 are activated by a wide variety of growth factors and cytokines, and also by membrane depolarization and calcium influx (5).

Limitations

This product is for research use only and is not approved for use in humans or in clinical diagnosis. Primary Antibodies are guaranteed for 1 year from date of receipt.

Customers Who Viewed This Item Also Viewed...

NBP1-47833
Species: Hu, Mu, Rt
Applications: ICC/IF, IHC,  IHC-P, WB
NBP2-22203
Species: Hu, Pm, Mu, Rt
Applications: ELISA, Flow, ICC/IF, IHC,  IHC-P, WB
AF1230
Species: Hu, Mu, Rt
Applications: IHC, KO, WB
AF467
Species: Hu, Mu
Applications: CyTOF-ready, Flow, ICC, IHC, Simple Western, WB
AF1347
Species: Hu, Mu, Rt
Applications: ICC, IHC, Simple Western, WB
MAB4540
Species: Hu, Mu, Rt
Applications: IHC, Simple Western, WB
NBP2-13304
Species: Hu
Applications: ICC/IF, IHC,  IHC-P, WB
NBP1-82956
Species: Hu
Applications: ICC/IF, IHC,  IHC-P, WB
AF887
Species: Hu, Mu, Rt
Applications: CyTOF-ready, IHC, ICFlow, Simple Western, WB
MAB8930
Species: Hu
Applications: ICC, Simple Western, WB
236-EG
Species: Hu
Applications: BA
NBP1-47668
Species: Hu, Pm, Mu, Rt
Applications: Flow, ICC/IF, IHC,  IHC-P, IP, WB
MAB17761
Species: Hu, Mu, Rt
Applications: ICC, WB
AF8691
Species: Hu, Mu, Rt
Applications: IHC, KO, Simple Western, WB
H00005706-M02
Species: Hu, Mu, Rt
Applications: ELISA, ICC/IF, KD, WB
AF231
Species: Hu
Applications: CyTOF-ready, Dual ISH-IHC, ELISA(Cap), ELISA(Det), ELISA(Sta), Flow, ICC, IHC, IP, Simple Western, WB
NBP2-67791
Species: Hu, Mu
Applications: WB, Flow, ICC/IF, IHC, IP

Publications for MEK2 Antibody (NBP2-67791) (0)

There are no publications for MEK2 Antibody (NBP2-67791).
By submitting your publication information earn gift cards and discounts for future purchases.

Reviews for MEK2 Antibody (NBP2-67791) (0)

There are no reviews for MEK2 Antibody (NBP2-67791). By submitting a review you will receive an Amazon e-Gift Card or Novus Product Discount.
  • Review with no image -- $10/€7/£6/$10 CAD/¥70 Yuan/¥1110 Yen
  • Review with an image -- $25/€18/£15/$25 CAD/¥150 Yuan/¥2500 Yen

Product General Protocols

Video Protocols

WB Video Protocol
ICC/IF Video Protocol

FAQs for MEK2 Antibody (NBP2-67791) (0)

There are no specific FAQs related to this product. Read our general customer & technical service FAQs.

Contact Information

Product PDFs

Calculators

Concentration Calculator

The concentration calculator allows you to quickly calculate the volume, mass or concentration of your vial. Simply enter your mass, volume, or concentration values for your reagent and the calculator will determine the rest.

=
÷

Review this Product

Be the first to review our MEK2 Antibody (SD207-08) and receive a gift card or discount.

Bioinformatics

Gene Symbol MAP2K2