CT83 Antibody (CL4762) - Azide and BSA Free

Images

 
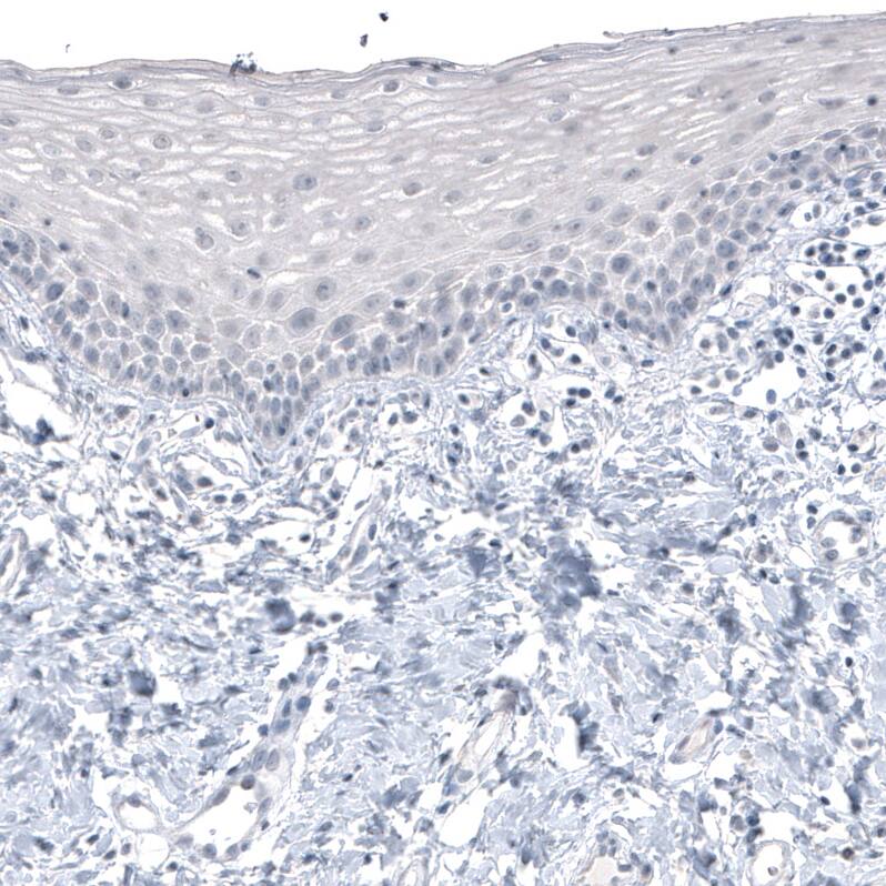
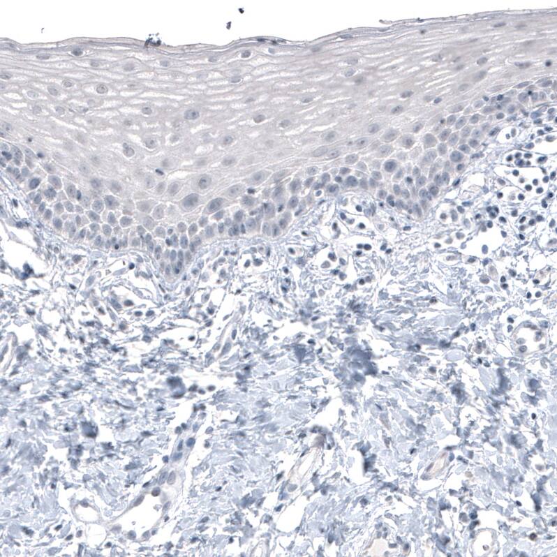
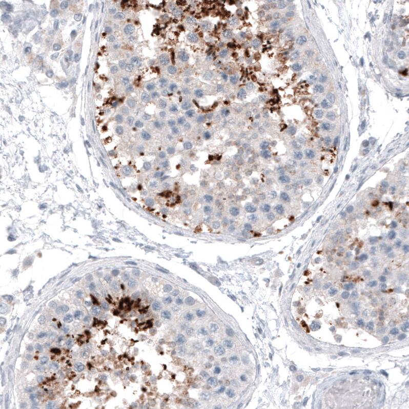
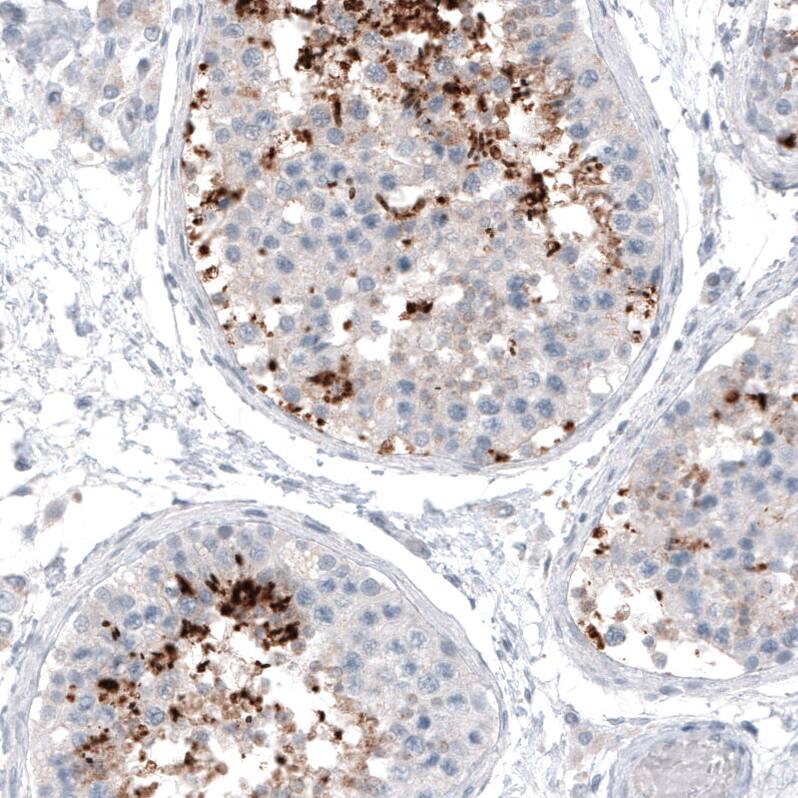
Orthogonal Strategies: Analysis in human testis and cervix, uterine tissues using NBP3-44122 antibody. Corresponding CT83 RNA-seq data are presented for the same tissues.
Staining of human testis shows moderate to strong cytoplasmic positivity in a subset of cells in seminiferous ducts.
Analysis in human cell line HeLa.
Staining of human uterine cervix shows no positivity in squamous epithelial cells as expected.

Product Details

Summary
Reactivity HuSpecies Glossary
Applications WB, IHC
Clone
CL4762
Clonality
Monoclonal
Host
Mouse
Conjugate
Unconjugated
Format
Azide and BSA Free
Concentration
LYOPH
Validated by:
       

Orthogonal Strategies

 

Order Details

CT83 Antibody (CL4762) - Azide and BSA Free Summary

Description
Novus Biologicals Mouse CT83 Antibody (CL4762) - Azide and BSA Free (NBP2-59062) is a monoclonal antibody validated for use in IHC and WB. All Novus Biologicals antibodies are covered by our 100% guarantee.
Immunogen
This antibody was generated using a recombinant protein sequence of Q5H943, with the exact immunogen sequence remaining proprietary.
Isotype
IgG1
Clonality
Monoclonal
Host
Mouse
Gene
CT83
Purity
Protein A purified
Innovator's Reward
Test in a species/application not listed above to receive a full credit towards a future purchase.

Applications/Dilutions

Dilutions
  • Immunohistochemistry-Paraffin 1:500 - 1:1000
  • Western Blot 1 ug/ml
Application Notes
For IHC-Paraffin, HIER pH 6 retrieval is recommended.

Packaging, Storage & Formulations

Storage
Store at 4C short term. Aliquot and store at -20C long term. Avoid freeze-thaw cycles.
Buffer
Lyophilized from a 0.2 um filtered solution in PBS with Trehalose
Preservative
No Preservative
Concentration
LYOPH
Purity
Protein A purified
Reconstitution Instructions
Centrifuge the vial of lyophilized antibody at 12,000 x g for 20 seconds. Reconstitute by adding sterile, distilled water to achieve a final antibody concentration of 1mg/ml.

Alternate Names for CT83 Antibody (CL4762) - Azide and BSA Free

  • chromosome X open reading frame 61
  • CT83
  • CT83Cancer/testis antigen 83
  • CXorf61
  • FLJ20611
  • FLJ22913
  • kita-kyushu lung cancer antigen 1
  • KKLC1
  • KK-LC-1
  • KK-LC-1KKLC1
  • RP3-452H17.2

Limitations

This product is for research use only and is not approved for use in humans or in clinical diagnosis. Primary Antibodies are guaranteed for 1 year from date of receipt.

Customers Who Viewed This Item Also Viewed...

NBP2-13075
Species: Ba, Hu, Pm, Mu, Rt
Applications: DB, ELISA, IB, ICC/IF, IHC-FrFl, IHC, IHC-Fr,  IHC-P, IP, WB
NBP2-61871
Species: Hu
Applications: ELISA, Flow, ICC/IF, IHC,  IHC-P, WB
NB100-64775
Species: Hu
Applications: CyTOF-ready, ELISA, Flow, Func, IHC, IHC-Fr, IHC-P (-), IP
NBP1-90044
Species: Hu
Applications: ICC/IF, IHC,  IHC-P, WB
NBP1-49045
Species: Mu, Rt
Applications: Cell Depl, CyTOF-ready, Flow, ICC/IF, IHC, IHC-Fr,  IHC-P, IP, InhibTFunc
NBP1-83790
Species: Hu
Applications: IHC,  IHC-P, WB
AF2009
Species: Hu
Applications: ICC, IHC
NBP1-88220
Species: Hu, Mu, Rt
Applications: ICC/IF, IHC,  IHC-P, KD, WB
MAB2772
Species: Hu, Pm
Applications: Block, CyTOF-ready, ELISA(Cap), ELISA(Det), ELISA(Sta), Flow, ICC
NBP2-67605
Species: Hu, Pm, Mu
Applications: ICC/IF, IHC,  IHC-P, IP, ISH, WB
NBP1-89165
Species: Hu
Applications: IHC,  IHC-P
NBP1-47714
Species: Hu
Applications: Flow, ICC/IF, IHC,  IHC-P, WB
NBP2-34294
Species: Hu, Mu, Rt
Applications: Flow, IHC,  IHC-P
NBP3-44122
Species: Hu
Applications: WB, IHC

Publications for CT83 Antibody (NBP3-44122) (0)

There are no publications for CT83 Antibody (NBP3-44122).
By submitting your publication information earn gift cards and discounts for future purchases.

Reviews for CT83 Antibody (NBP3-44122) (0)

There are no reviews for CT83 Antibody (NBP3-44122). By submitting a review you will receive an Amazon e-Gift Card or Novus Product Discount.
  • Review with no image -- $10/€7/£6/$10 CAD/¥70 Yuan/¥1110 Yen
  • Review with an image -- $25/€18/£15/$25 CAD/¥150 Yuan/¥2500 Yen

Product General Protocols

Find general support by application which include: protocols, troubleshooting, illustrated assays, videos and webinars.

Video Protocols

WB Video Protocol

FAQs for CT83 Antibody (NBP3-44122) (0)

There are no specific FAQs related to this product. Read our general customer & technical service FAQs.

Customers Who Bought This Also Bought

Contact Information

Product PDFs

Calculators

Concentration Calculator

The concentration calculator allows you to quickly calculate the volume, mass or concentration of your vial. Simply enter your mass, volume, or concentration values for your reagent and the calculator will determine the rest.

=
÷

Review this Product

Be the first to review our CT83 Antibody (CL4762) - Azide and BSA Free and receive a gift card or discount.

Bioinformatics

Gene Symbol CT83