CD8 Antibody - Azide and BSA Free

Images

 
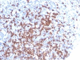
Formalin-fixed, paraffin-embedded human tonsil stained with CD8 antibody at 2ug/ml at RT. HIER: Tris/EDTA, pH9.0, 45min. Secondary: HRP-polymer, 30min. DAB, 5min.

Product Details

Summary
Reactivity Hu, Mu, PoSpecies Glossary
Applications ELISA, ICC/IF, CyTOF-ready
Clonality
Polyclonal
Host
Rabbit
Conjugate
Unconjugated
Format
Azide and BSA Free
Concentration
1.0 mg/ml

Order Details

View Available Formulations
Catalog# & Formulation Size Price

CD8 Antibody - Azide and BSA Free Summary

Description
1.0 mg/ml of antibody purified from rabbit anti-serum by Protein A chromatography supplied in 10 mM PBS, pH 7.4 WITHOUT BSA & azide.

Antibody with azide - store at 2 to 8C. Non-hazardous. No MSDS required.
Immunogen
Recombinant fragment from human CD8 C-terminal cytoplasmic domain of alpha chain (exact sequence is proprietary). (Uniprot: P01732)
Localization
Cell surface
Marker
Cytotoxic- & Suppressor T-Cell Marker
Isotype
IgG Kappa
Clonality
Polyclonal
Host
Rabbit
Gene
CD8A
Purity
Protein A purified
Innovator's Reward
Test in a species/application not listed above to receive a full credit towards a future purchase.

Applications/Dilutions

Dilutions
  • CyTOF-ready
  • ELISA
  • Immunocytochemistry/ Immunofluorescence
Application Notes
ELISA: For coating, order Ab without BSA.
Optimal dilution for a specific application should be determined.
Theoretical MW
26 kDa.
Disclaimer note: The observed molecular weight of the protein may vary from the listed predicted molecular weight due to post translational modifications, post translation cleavages, relative charges, and other experimental factors.

Reactivity Notes

Mouse reactivity reported in scientific literature (PMID: 29030607). Use in Porcine reported in scientific literature (PMID:33839961)

Packaging, Storage & Formulations

Storage
Store at -20 to -80C. Avoid freeze-thaw cycles.
Buffer
10 mM PBS, pH 7.4
Preservative
No Preservative
Concentration
1.0 mg/ml
Purity
Protein A purified

Alternate Names for CD8 Antibody - Azide and BSA Free

  • CD_antigen: CD8a
  • CD8 antigen, alpha polypeptide (p32)
  • CD8
  • CD8a molecule
  • CD8A
  • Leu2 T-lymphocyte antigen
  • LEU2
  • MAL
  • OKT8 T-cell antigen
  • p32
  • T cell co-receptor
  • T8 T-cell antigen
  • T-cell antigen Leu2
  • T-cell surface glycoprotein CD8 alpha chain
  • T-lymphocyte differentiation antigen T8/Leu-2

Background

CD8, also known as Leu-2 or T8 in human and Lyt2 or Lyt3 in mouse, is a cell surface glycoprotein belonging to the immunoglobulin supergene family (1, 2). CD8 is expressed on cytotoxic T-lymphocytes (T-cells), most thymocytes, between 35-45% of peripheral blood lymphocytes, and a population of natural killer (NK) cells (1, 2). The CD8 molecule consists of disulfide-linked alpha (alpha) and beta (beta) chains that present on T-cells as either CD8alphaalpha homodimers or CD8alphabeta heterodimers (1, 3). Both alpha and beta chains consist of a signaling sequence, an extracellular Ig-like domain, a membrane proximal stalk region, a transmembrane domain, and a cytoplasmic tail (3). Human CD8alpha is processed as 235 amino acids (aa) in length with a theoretical molecular weight of ~26 kDa, while mouse CD8alpha is 247 aa and has a theoretical molecular weight of 27.5 kDa (4, 5). Functionally, CD8 acts as an antigen coreceptor on cytotoxic T-cells and interacts with the major histocompatibility complex (MHC) class I molecules on antigen presenting cells (APCs), mediating cell-cell interactions within the immune system. Conversely, CD4 molecules interact with antigens presented on MHC class II molecules and are activated to become helper T-cells (TH) (1,2). Interestingly, thymocytes can transiently express both CD4 and CD8 during the maturation process (2). Furthermore, the cytoplasmic tail of CD8 has a Lck (lymphocyte-specific protein tyrosine kinase) binding domain where Lck interacts with CD8, initiating a phosphorylation cascade that activates transcription factors and promotes T-cell activation (6). More specifically, CD8alphabeta functions as a T-cell co-receptor, while CD8alphaalpha promotes T-cell survival and differentiation (7).

Given its role in the immune system, CD8-deficiency in T-cells is a hallmark of many diseases and pathologies (8-10). Specifically, CD8+ T-cell deficiency is prevalent in chronic autoimmune diseases including multiple sclerosis, rheumatoid arthritis, ulcerative colitis, Crohn's disease, type 1 diabetes mellitus, and Graves' disease (8). Furthermore, cancers or chronic infection can lead to CD8 T-cell exhaustion as the continual antigen presentation and inflammatory signals eventually cause the CD8+ T-cells to lose functionality (9, 10). However, animal models and clinical studies have suggested that T-cells are capable of being reinvigorated using inhibitory receptor blockade resulting in better disease outcomes and these exhausted T-cells may be a potential therapeutic target (9, 10).

Alternative names for CD8 includes CD antigen: CD8a, CD8 antigen, alpha polypeptide (p32), CD8a molecule, CD8A, Leu2 T-lymphocyte antigen, LEU2, MAL, OKT8 T-cell antigen, p32, T cell co-receptor, T8 T-cell antigen, T-cell antigen Leu2, T-cell surface glycoprotein CD8 alpha chain, and T-lymphocyte differentiation antigen T8/Leu-2.

References

1. Littman D. R. (1987). The structure of the CD4 and CD8 genes. Annual review of immunology. https://doi.org/10.1146/annurev.iy.05.040187.003021

2. Naeim F. (2008). Chapter 2- Principles of Immunophenotyping. Hematopathology. https://doi.org/10.1016/B978-0-12-370607-2.00002-8.

3. Gao, G. F., & Jakobsen, B. K. (2000). Molecular interactions of coreceptor CD8 and MHC class I: the molecular basis for functional coordination with the T-cell receptor. Immunology today. https://doi.org/10.1016/s0167-5699(00)01750-3

4. UniProt (P01732)

5. UniProt (P01731)

6. Kappes D. J. (2007). CD4 and CD8: hogging all the Lck. Immunity. https://doi.org/10.1016/j.immuni.2007.11.002

7. Gangadharan, D., & Cheroutre, H. (2004). The CD8 isoform CD8alphaalpha is not a functional homologue of the TCR co-receptor CD8alphabeta. Current opinion in immunology. https://doi.org/10.1016/j.coi.2004.03.015

8. Pender M. P. (2012). CD8+ T-Cell Deficiency, Epstein-Barr Virus Infection, Vitamin D Deficiency, and Steps to Autoimmunity: A Unifying Hypothesis. Autoimmune diseases. https://doi.org/10.1155/2012/189096

9. Kurachi M. (2019). CD8+ T cell exhaustion. Seminars in immunopathology. https://doi.org/10.1007/s00281-019-00744-5

10. Hashimoto, M., Kamphorst, A. O., Im, S. J., Kissick, H. T., Pillai, R. N., Ramalingam, S. S., Araki, K., & Ahmed, R. (2018). CD8 T Cell Exhaustion in Chronic Infection and Cancer: Opportunities for Interventions. Annual review of medicine. https://doi.org/10.1146/annurev-med-012017-043208

Limitations

This product is for research use only and is not approved for use in humans or in clinical diagnosis. Primary Antibodies are guaranteed for 1 year from date of receipt.

Customers Who Viewed This Item Also Viewed...

NBP1-19371
Species: Ca, Hu, Mu, Po, Rb, Rt
Applications: Dual ISH-IHC, Flow, ICC/IF, IHC, IHC-Fr,  IHC-P, Simple Western, WB
202-IL
Species: Hu
Applications: BA
NB600-1441
Species: Ca, Hu, Mu, Po
Applications: Flow, ICC/IF, IHC, IHC-Fr,  IHC-P, KD
7268-CT
Species: Hu
Applications: BA
NBP2-79843
Species: Hu
Applications: CyTOF-ready, ELISA, Flow, ICC/IF, IHC,  IHC-P, PA, WB
NB100-524
Species: Hu, Mu
Applications: Flow-IC, Flow, ICC/IF, IHC, IHC-Fr,  IHC-P, IP, WB
485-MI
Species: Mu
Applications: BA
6507-IL/CF
Species: Hu
Applications: BA
DY417
Species: Mu
Applications: ELISA
DR2A00
Species: Hu
Applications: ELISA
H00003669-M01
Species: Hu
Applications: ELISA, ICC/IF, S-ELISA, WB
AF114
Species: Mu
Applications: CyTOF-ready, Flow, ICC, IHC, WB
NB120-6405
Species: Rt
Applications: B/N, CyTOF-ready, EM, ELISA, Flow-IC, Flow, ICC/IF, IHC, IHC-Fr,  IHC-P, IP
MAB342
Species: Hu
Applications: AgAct, ICC, WB
M6000B
Species: Mu
Applications: ELISA
NBP1-72042
Species: Hu, Mu, Rt
Applications: ICC/IF, IHC,  IHC-P, PEP-ELISA, WB
NBP2-25200
Species: Hu
Applications: B/N, Flow, IHC, IHC-Fr, WB
AF2408
Species: Hu, Mu
Applications: CyTOF-ready, Flow, ICC, KO, Simple Western, WB
NBP2-25196
Species: Hu, Mu
Applications: CyTOF-ready, Flow, ICC/IF, In vitro, WB

Publications for CD8 Antibody (NBP2-33122) (0)

There are no publications for CD8 Antibody (NBP2-33122).
By submitting your publication information earn gift cards and discounts for future purchases.

Reviews for CD8 Antibody (NBP2-33122) (0)

There are no reviews for CD8 Antibody (NBP2-33122). By submitting a review you will receive an Amazon e-Gift Card or Novus Product Discount.
  • Review with no image -- $10/€7/£6/$10 CAD/¥70 Yuan/¥1110 Yen
  • Review with an image -- $25/€18/£15/$25 CAD/¥150 Yuan/¥2500 Yen

Product General Protocols

Find general support by application which include: protocols, troubleshooting, illustrated assays, videos and webinars.

Video Protocols

ICC/IF Video Protocol

FAQs for CD8 Antibody (NBP2-33122) (0)

There are no specific FAQs related to this product. Read our general customer & technical service FAQs.

Secondary Antibodies

 

Isotype Controls

Additional CD8 Products

Research Areas for CD8 Antibody (NBP2-33122)

Find related products by research area.

Blogs on CD8. Showing 1-10 of 13 blog posts - Show all blog posts.

Is Monkeypox Still A Threat?
By Jamshed Arslan, Pharm D, PhD Monkeypox is not deadly like its cousin, smallpox, nor is it as contagious as COVID-19. Yet, it continues to scare the world. In May 2022, a multinational outbreak of a cont...  Read full blog post.

Tired T cells: Hypoxia Drives T cell Exhaustion in the Tumor Microenvironment
By Hunter MartinezThe paradigm shifting view of the immune system being leveraged to target cancer has led to numerous therapeutic breakthroughs. One major cell group responsible for this revelation is a T cell. ...  Read full blog post.

Synthetic Biotic Medicine as Immunotherapy Against Cancer: Evidence From Arginine-Producing Engineered Bacteria
By Jamshed Arslan, Pharm D, PhDWhat do nuts, dairy and red meat have in common? In addition to the fact that they are all edible, one of the answers is L-arginine. This amino acid improves T cell’s respons...  Read full blog post.

Harnessing Natural Killer Cell Activity for Anti-Tumor Immunotherapy
By Victoria Osinski, PhDWhat’s “Natural” About Natural Killer (NK) Cells?For immunologists, the term cytotoxicity often conjures up images of an army of antigen specific CD8+ T cells deploying to ...  Read full blog post.

Early T cell response is associated with mild COVID-19 and rapid SARS-CoV-2 clearance
Jamshed Arslan, Pharm D, PhD SARS-CoV-2 induces both humoral and cellular immunity. A vaccine or natural infection invokes SARS-CoV-2-specific humoral components (antibodies from activated B cells) and cellular resp...  Read full blog post.


  Read full blog post.

Success of combined IL-10 and IL-12 therapy in colon cancer depends on IFN-gamma and gut barrier integrity
By Jamshed Arslan, Pharm. D., PhD. Colon cancer is responsible for over 600,000 deaths per year worldwide. Colon cancer can be classified into two categories: mismatch repair (MMR)-deficient and MMR-proficient cancers...  Read full blog post.

mTOR Signaling and the Tumor Microenvironment
By Yoskaly Lazo-Fernandez, PhD The mammalian target of rapamycin (mTOR) is a conserved serine/threonine kinase that, as a member of two distinct intracellular protein complexes, mTORC1 and mTORC2, regulates protein ...  Read full blog post.

The role of MHC Class II RT1B and immune response post brain injury
The major histocompatibility complex (MHC) is responsible for binding peptide fragments arising from pathogens in order to display them on the cell surface for recognition from immune cells.  Once recognized, the foreign pathogen is typically evade...  Read full blog post.

Topics in CD11b: The innate immune response
Integrins are transmembrane receptors composed of alpha and beta chains, where beta-integrins are mainly expressed in leukocytes. Leukocytes are white blood cells that act in the immune system to defend our body against foreign pathogens.  Integrin...  Read full blog post.

Showing 1-10 of 13 blog posts - Show all blog posts.

Customers Who Bought This Also Bought

Contact Information

Product PDFs

Calculators

Concentration Calculator

The concentration calculator allows you to quickly calculate the volume, mass or concentration of your vial. Simply enter your mass, volume, or concentration values for your reagent and the calculator will determine the rest.

=
÷

Review this Product

Be the first to review our CD8 Antibody - Azide and BSA Free and receive a gift card or discount.

Bioinformatics

Gene Symbol CD8A