BIG3 Antibody - BSA Free

Images

 
Western Blot: BIG3 Antibody [NBP1-90759] - Analysis in human cell line SK-BR-3.
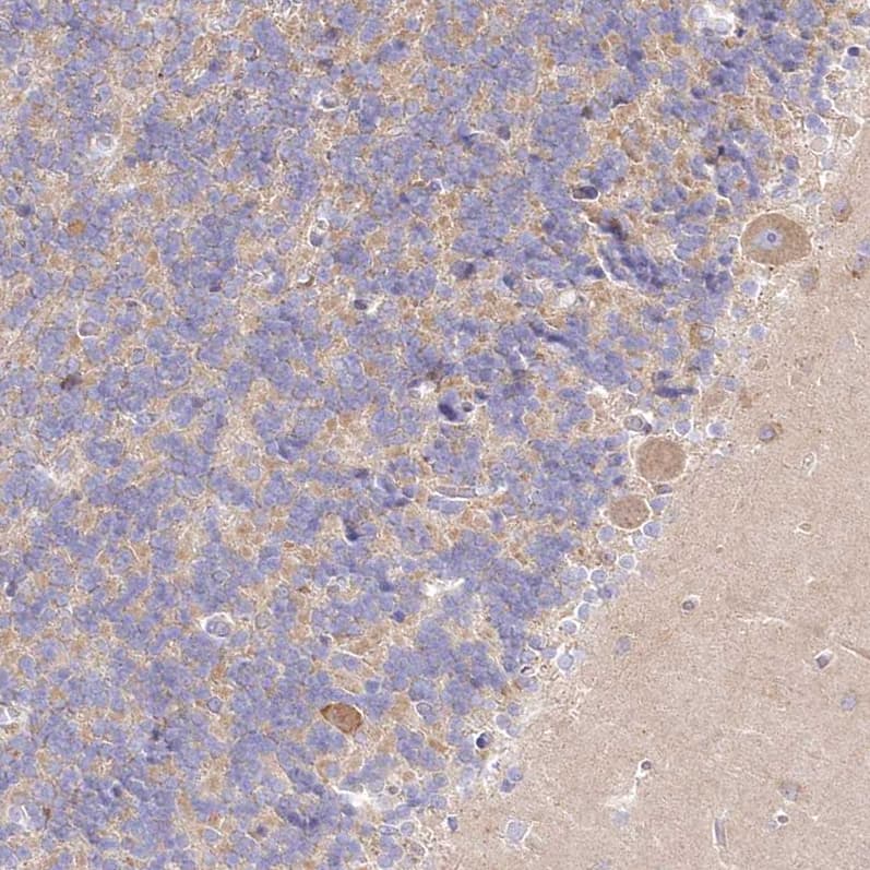
Immunohistochemistry-Paraffin: BIG3 Antibody [NBP1-90759] - Staining of human cerebellum shows moderate cytoplasmic positivity in Purkinje cells.
Immunohistochemistry-Paraffin: BIG3 Antibody [NBP1-90759] -Staining of human stomach shows moderate cytoplasmic positivity in glandular cells.
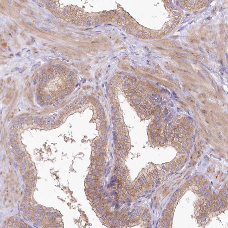
Staining of human prostate shows moderate cytoplasmic/membranous positivity in glandular cells and smooth muscle cells.
Staining of human cerebral cortex shows moderate cytoplasmic positivity in neuronal cells.
Analysis in human cell line SK-BR-3.
Staining of human cerebellum shows moderate cytoplasmic positivity in Purkinje cells.

Product Details

Summary
Reactivity Hu, Mu, RtSpecies Glossary
Applications WB, IHC
Clonality
Polyclonal
Host
Rabbit
Conjugate
Unconjugated
Format
BSA Free

Order Details

View Available Formulations
Catalog# & Formulation Size Price

BIG3 Antibody - BSA Free Summary

Description
Novus Biologicals Rabbit BIG3 Antibody - BSA Free (NBP1-90759) is a polyclonal antibody validated for use in IHC and WB. All Novus Biologicals antibodies are covered by our 100% guarantee.
Immunogen
This antibody was developed against Recombinant Protein corresponding to amino acids: SLKLLKNQEADQHSARLFIQSLEGLLPRLLSLSNVEEVDTALQNFASTFCSGMMHSPGFDGNSSLSFQMLMNADSLYTAAHCALLLNLKLSHG
Predicted Species
Mouse (96%), Rat (95%). Backed by our 100% Guarantee.
Isotype
IgG
Clonality
Polyclonal
Host
Rabbit
Gene
KIAA1244
Purity
Immunogen affinity purified
Innovator's Reward
Test in a species/application not listed above to receive a full credit towards a future purchase.

Applications/Dilutions

Dilutions
  • Immunohistochemistry 1:20 - 1:50
  • Immunohistochemistry-Paraffin 1:20 - 1:50
  • Western Blot 0.04-0.4 ug/ml
Application Notes
For IHC-Paraffin, HIER pH 6 retrieval is recommended.
Control Peptide
BIG3 Protein (NBP1-90759PEP)

Packaging, Storage & Formulations

Storage
Store at 4C short term. Aliquot and store at -20C long term. Avoid freeze-thaw cycles.
Buffer
PBS (pH 7.2) and 40% Glycerol
Preservative
0.02% Sodium Azide
Purity
Immunogen affinity purified

Alternate Names for BIG3 Antibody - BSA Free

  • A7322
  • brefeldin A-inhibited guanine nucleotide-exchange protein 3
  • KIAA1244

Limitations

This product is for research use only and is not approved for use in humans or in clinical diagnosis. Primary Antibodies are guaranteed for 1 year from date of receipt.

Customers Who Viewed This Item Also Viewed...

NBP2-13754
Species: Hu, Mu, Rt
Applications: ICC/IF, IHC,  IHC-P, WB
AF2818
Species: Hu
Applications: ICC, WB
6179-WN
Species: Hu
Applications: BA
DBD00
Species: Hu
Applications: ELISA
NBP2-24417
Species: Hu, Mu
Applications: ICC/IF, WB
NBP2-46586
Species: Hu, Mu, Rt
Applications: IHC,  IHC-P
NBP3-16617
Species: Hu, Mu, Rt
Applications: ELISA, ICC/IF, IHC,  IHC-P, WB
AF3757
Species: Hu
Applications: ICC, Simple Western, WB
AF1494
Species: Hu, Mu, Rt
Applications: Block, IHC, Simple Western, WB

Publications for BIG3 Antibody (NBP1-90759) (0)

There are no publications for BIG3 Antibody (NBP1-90759).
By submitting your publication information earn gift cards and discounts for future purchases.

Reviews for BIG3 Antibody (NBP1-90759) (0)

There are no reviews for BIG3 Antibody (NBP1-90759). By submitting a review you will receive an Amazon e-Gift Card or Novus Product Discount.
  • Review with no image -- $10/€7/£6/$10 CAD/¥70 Yuan/¥1110 Yen
  • Review with an image -- $25/€18/£15/$25 CAD/¥150 Yuan/¥2500 Yen

Product General Protocols

Find general support by application which include: protocols, troubleshooting, illustrated assays, videos and webinars.

Video Protocols

WB Video Protocol

FAQs for BIG3 Antibody (NBP1-90759) (0)

There are no specific FAQs related to this product. Read our general customer & technical service FAQs.

Customers Who Bought This Also Bought

Contact Information

Product PDFs

Calculators

Concentration Calculator

The concentration calculator allows you to quickly calculate the volume, mass or concentration of your vial. Simply enter your mass, volume, or concentration values for your reagent and the calculator will determine the rest.

=
÷

Review this Product

Be the first to review our BIG3 Antibody - BSA Free and receive a gift card or discount.

Bioinformatics

Gene Symbol KIAA1244