LAD1 Products

Antibodies
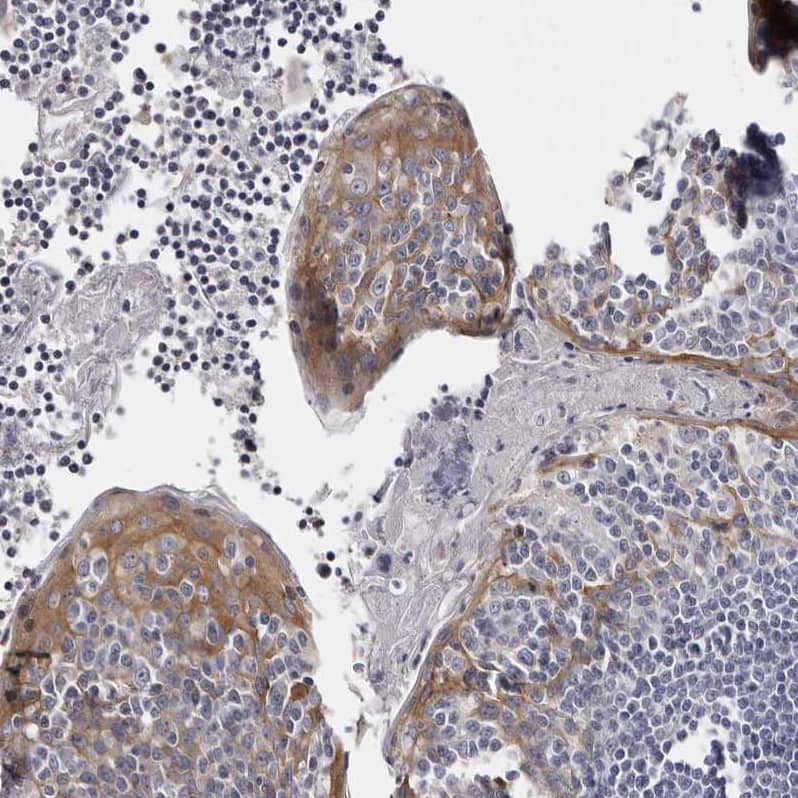
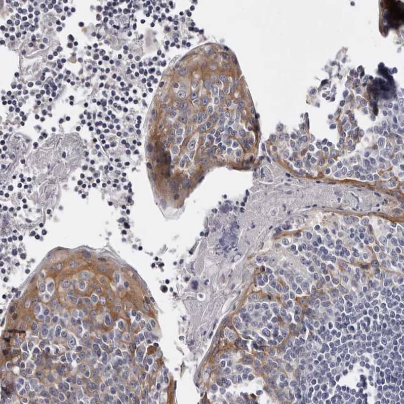
LAD1 Antibody - BSA Free
LAD1 Antibody - BSA Free
NBP1-86126
Species: Hu
Applications: WB, ICC/IF, IHC
Host: Rabbit Polyclonal
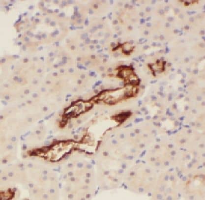
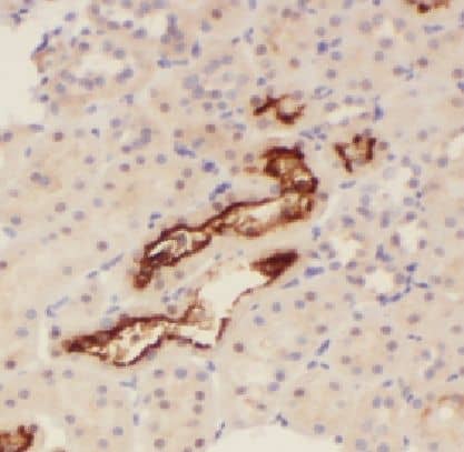
LAD1 Antibody - BSA Free
LAD1 Antibody - BSA Free
NBP1-85945
Species: Hu
Applications: WB, IHC
Host: Rabbit Polyclonal
Formulation Catalog # Availability Price  
LAD1 Antibody - BSA Free
LAD1 Antibody - BSA Free
NBP3-46046
Species: Hu, Mu
Applications: WB, ELISA, IHC
Host: Rabbit Polyclonal
Proteins
Recombinant Human LAD1 GST (N ...
Recombinant Human LAD1 GST (N-Term...
H00003898-Q01
Species: Hu
Applications: WB, ELISA, MA, PAGE, AP
LAD1 Recombinant Protein Anti ...
LAD1 Recombinant Protein Antigen
NBP1-86126PEP
Species: Hu
Applications: AC
LAD1 Recombinant Protein Anti ...
LAD1 Recombinant Protein Antigen
NBP1-85945PEP
Species: Hu
Applications: AC

Description

LAD1 is encoded by this gene may be an anchoring filament that is a component of basement membranes. It may contribute to the stability of the association of the epithelial layers with the underlying mesenchyme. [provided by RefSeq]

Bioinformatics

Entrez Human
Uniprot Human
Human
Product By Gene ID 3898
Alternate Names
  • LAD
  • Lad-1
  • lad-1
  • LADA
  • LadA
  • ladinin 1
  • ladinin-1
  • linear IgA bullous dermatosis antigen
  • linear IgA disease antigen homolog
  • Linear IgA disease antigen
  • MGC10355